前歯が閉じれない(開咬) 前歯が閉じれない(開咬)

前歯が閉じれない開咬の矯正例

  • トップ >
  • 前歯が閉じれない(開咬)

前歯が閉じれない(開咬)

奥歯は噛み合っているのに前歯だけが噛み合わず、常に上下の前歯が噛み合わず開いている状態をいいます。 子供の頃からの指しゃぶりや舌を突き出す癖(舌癖)、口呼吸などが原因として考えられます。 矯正治療後も舌の癖が改善されてない場合、歯が安定しにくく後戻りの原因になることがあるため咬み合わせだけでなく、舌の機能を改善する必要があります。

開咬から考えられること

  • 奥歯に負担がかかり歯の寿命が短くなる
  • 発音が不明瞭
  • 顎の関節に負担がかかる(顎関節症)
  • 消化不良や胃腸障害

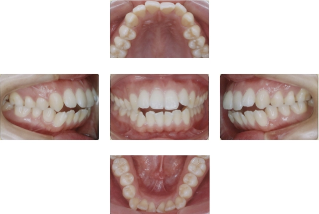
開咬のⅠ期治療例 1

初診時年齢 8歳3ヶ月 主訴 前歯で物が噛めない
診断名 開咬 治療に用いた主な装置 マルチブラケット装置
抜歯の有無 非抜歯 治療期間/回数 5ヶ月/8回
費用の総額 429,000円(税込) 費用内訳
  • 相談 無料
  • 検査・診断料 55,000円(税込)
  • マルチブラケット矯正装置 330,000円(税込)
  • 調整料 5,500円(税込)✕8回
リスク
  • ・装置が付くと装置に擦れて口内炎が出来やすくなる
  • ・歯が動くときに痛みがでることがある
  • ・装置が付くと歯みがきが難しくなるため虫歯や歯肉炎につながりやすい
  • ・患者様に協力していただけないことがあると治療が進まない事がある
  • ・治療後、保定装置(リテーナー)を指示通り入れないことや、その他の指導内容が守れない場合、後戻りする可能性があること
  • ※上記の内容は個人差があり、全ての方に当てはまるものではございませんので参考としてご覧ください。

【矯正治療に伴う一般的なリスク・副作用について】

  • ①矯正歯科装置を付けた後しばらくは違和感、不快感、痛みなどが生じることがありますが、一般的には数日間~1、2週間で慣れてきます。
  • ②歯の動き方には個人差があり、予想された治療期間が延長する可能性があります。
  • ③矯正歯科装置の使用状況、顎間ゴムの使用状況、定期的な通院など、矯正歯科治療には患者さんの協力が必要であり、それらが治療結果や治療期間に影響します。
  • ④治療中は矯正歯科装置が歯の表面に付いているため食物が溜りやすく、また歯が磨きにくくなるため、むし歯や歯周病が生じるリスクが高まります。したがってハミガキを適切に行い、お口の中を常に清潔に保ち、さらに、かかりつけ歯科医に定期的に受診することが大切です。また、歯が動くと隠れていたむし歯があることが判明することもあります。
  • ⑤歯を動かすことにより歯根が吸収して短くなることや歯肉がやせて下がることがあります。
  • ⑥ごくまれに歯が骨と癒着していて歯が動かないことがあります。
  • ⑦ごくまれに歯を動かすことで神経が障害を受けて壊死することがあります。
  • ⑧矯正歯科装置などにより金属等のアレルギー症状が出ることがあります。
  • ⑨治療中に顎関節の痛み、音が鳴る、口が開けにくいなどの症状が生じることがあります。
  • ⑩治療の経過によっては当初予定していた治療計画を変更する可能性があります。
  • ⑪歯の形の修正や咬み合わせの微調整を行う可能性があります。
  • ⑫矯正歯科装置を誤飲する可能性があります。
  • ⑬矯正歯科装置を外す際にエナメル質に微小な亀裂が入る可能性や、かぶせ物(補綴物)の一部が破損する可能性があります。
  • ⑭動的治療が終了し装置が外れた後に現在の咬み合わせに合った状態のかぶせ物(補綴物)やむし歯の治療(修復物)などをやりなおす必要性が生じる可能性があります。
  • ⑮動的治療が終了し装置が外れた後に保定装置を指示通り使用しないと、歯並びや、咬み合せの「後戻り」が生じる可能性があります。
  • ⑯あごの成長発育により咬み合せや歯並びが変化する可能性があります。
  • ⑰治療後に親知らずの影響で歯並びや咬み合せに変化が生じる可能性があります。また、加齢や歯周病などにより歯並びや咬み合せが変化することがあります。
  • ⑱矯正歯科治療は一度始めると元の状態に戻すことは難しくなります。

すべて開く +

初診時年齢 8歳3ヶ月
主訴 前歯で物が噛めない
診断名 開咬
治療に用いた主な装置 マルチブラケット装置
抜歯の有無 非抜歯
治療期間/回数 5ヶ月/8回
費用の総額 429,000円(税込)
費用内訳
  • 相談 無料
  • 検査・診断料 55,000円(税込)
  • マルチブラケット矯正装置 330,000円(税込)
  • 調整料 5,500円(税込)✕8回
リスク・副作用
  • ・装置が付くと装置に擦れて口内炎が出来やすくなる
  • ・歯が動くときに痛みがでることがある
  • ・装置が付くと歯みがきが難しくなるため虫歯や歯肉炎につながりやすい
  • ・患者様に協力していただけないことがあると治療が進まない事がある
  • ・治療後、保定装置(リテーナー)を指示通り入れないことや、その他の指導内容が守れない場合、後戻りする可能性があること
  • ※上記の内容は個人差があり、全ての方に当てはまるものではございませんので参考としてご覧ください。

【矯正治療に伴う一般的なリスク・副作用について】

  • ①矯正歯科装置を付けた後しばらくは違和感、不快感、痛みなどが生じることがありますが、一般的には数日間~1、2週間で慣れてきます。
  • ②歯の動き方には個人差があり、予想された治療期間が延長する可能性があります。
  • ③矯正歯科装置の使用状況、顎間ゴムの使用状況、定期的な通院など、矯正歯科治療には患者さんの協力が必要であり、それらが治療結果や治療期間に影響します。
  • ④治療中は矯正歯科装置が歯の表面に付いているため食物が溜りやすく、また歯が磨きにくくなるため、むし歯や歯周病が生じるリスクが高まります。したがってハミガキを適切に行い、お口の中を常に清潔に保ち、さらに、かかりつけ歯科医に定期的に受診することが大切です。また、歯が動くと隠れていたむし歯があることが判明することもあります。
  • ⑤歯を動かすことにより歯根が吸収して短くなることや歯肉がやせて下がることがあります。
  • ⑥ごくまれに歯が骨と癒着していて歯が動かないことがあります。
  • ⑦ごくまれに歯を動かすことで神経が障害を受けて壊死することがあります。
  • ⑧矯正歯科装置などにより金属等のアレルギー症状が出ることがあります。
  • ⑨治療中に顎関節の痛み、音が鳴る、口が開けにくいなどの症状が生じることがあります。
  • ⑩治療の経過によっては当初予定していた治療計画を変更する可能性があります。
  • ⑪歯の形の修正や咬み合わせの微調整を行う可能性があります。
  • ⑫矯正歯科装置を誤飲する可能性があります。
  • ⑬矯正歯科装置を外す際にエナメル質に微小な亀裂が入る可能性や、かぶせ物(補綴物)の一部が破損する可能性があります。
  • ⑭動的治療が終了し装置が外れた後に現在の咬み合わせに合った状態のかぶせ物(補綴物)やむし歯の治療(修復物)などをやりなおす必要性が生じる可能性があります。
  • ⑮動的治療が終了し装置が外れた後に保定装置を指示通り使用しないと、歯並びや、咬み合せの「後戻り」が生じる可能性があります。
  • ⑯あごの成長発育により咬み合せや歯並びが変化する可能性があります。
  • ⑰治療後に親知らずの影響で歯並びや咬み合せに変化が生じる可能性があります。また、加齢や歯周病などにより歯並びや咬み合せが変化することがあります。
  • ⑱矯正歯科治療は一度始めると元の状態に戻すことは難しくなります。

すべて開く +

開咬のⅠ期治療例 2

初診時年齢 8歳1ヶ月 主訴 物が噛めない
診断名 開咬 治療に用いた主な装置 マルチブラケット装置
抜歯の有無 非抜歯 治療期間/回数 1年0ヶ月/12回
費用の総額 451,000円(税込) 費用内訳
  • 相談 無料
  • 検査・診断料 55,000円(税込)
  • マルチブラケット矯正装置 330,000円(税込)
  • 調整料 5,500円(税込)✕12回
リスク
  • ・装置が付くと装置に擦れて口内炎が出来やすくなる
  • ・歯が動くときに痛みがでることがある
  • ・装置が付くと歯みがきが難しくなるため虫歯や歯肉炎につながりやすい
  • ・患者様に協力していただけないことがあると治療が進まない事がある
  • ・治療後、保定装置(リテーナー)を指示通り入れないことや、その他の指導内容が守れない場合、後戻りする可能性があること
  • ※上記の内容は個人差があり、全ての方に当てはまるものではございませんので参考としてご覧ください。

【矯正治療に伴う一般的なリスク・副作用について】

  • ①矯正歯科装置を付けた後しばらくは違和感、不快感、痛みなどが生じることがありますが、一般的には数日間~1、2週間で慣れてきます。
  • ②歯の動き方には個人差があり、予想された治療期間が延長する可能性があります。
  • ③矯正歯科装置の使用状況、顎間ゴムの使用状況、定期的な通院など、矯正歯科治療には患者さんの協力が必要であり、それらが治療結果や治療期間に影響します。
  • ④治療中は矯正歯科装置が歯の表面に付いているため食物が溜りやすく、また歯が磨きにくくなるため、むし歯や歯周病が生じるリスクが高まります。したがってハミガキを適切に行い、お口の中を常に清潔に保ち、さらに、かかりつけ歯科医に定期的に受診することが大切です。また、歯が動くと隠れていたむし歯があることが判明することもあります。
  • ⑤歯を動かすことにより歯根が吸収して短くなることや歯肉がやせて下がることがあります。
  • ⑥ごくまれに歯が骨と癒着していて歯が動かないことがあります。
  • ⑦ごくまれに歯を動かすことで神経が障害を受けて壊死することがあります。
  • ⑧矯正歯科装置などにより金属等のアレルギー症状が出ることがあります。
  • ⑨治療中に顎関節の痛み、音が鳴る、口が開けにくいなどの症状が生じることがあります。
  • ⑩治療の経過によっては当初予定していた治療計画を変更する可能性があります。
  • ⑪歯の形の修正や咬み合わせの微調整を行う可能性があります。
  • ⑫矯正歯科装置を誤飲する可能性があります。
  • ⑬矯正歯科装置を外す際にエナメル質に微小な亀裂が入る可能性や、かぶせ物(補綴物)の一部が破損する可能性があります。
  • ⑭動的治療が終了し装置が外れた後に現在の咬み合わせに合った状態のかぶせ物(補綴物)やむし歯の治療(修復物)などをやりなおす必要性が生じる可能性があります。
  • ⑮動的治療が終了し装置が外れた後に保定装置を指示通り使用しないと、歯並びや、咬み合せの「後戻り」が生じる可能性があります。
  • ⑯あごの成長発育により咬み合せや歯並びが変化する可能性があります。
  • ⑰治療後に親知らずの影響で歯並びや咬み合せに変化が生じる可能性があります。また、加齢や歯周病などにより歯並びや咬み合せが変化することがあります。
  • ⑱矯正歯科治療は一度始めると元の状態に戻すことは難しくなります。

すべて開く +

初診時年齢 8歳1ヶ月
主訴 物が噛めない
診断名 開咬
治療に用いた主な装置 マルチブラケット装置
抜歯の有無 非抜歯
治療期間/回数 1年0ヶ月/12回
費用の総額 451,000円(税込)
費用内訳
  • 相談 無料
  • 検査・診断料 55,000円(税込)
  • マルチブラケット矯正装置 330,000円(税込)
  • 調整料 5,500円(税込)✕12回
リスク・副作用
  • ・装置が付くと装置に擦れて口内炎が出来やすくなる
  • ・歯が動くときに痛みがでることがある
  • ・装置が付くと歯みがきが難しくなるため虫歯や歯肉炎につながりやすい
  • ・患者様に協力していただけないことがあると治療が進まない事がある
  • ・治療後、保定装置(リテーナー)を指示通り入れないことや、その他の指導内容が守れない場合、後戻りする可能性があること
  • ※上記の内容は個人差があり、全ての方に当てはまるものではございませんので参考としてご覧ください。

【矯正治療に伴う一般的なリスク・副作用について】

  • ①矯正歯科装置を付けた後しばらくは違和感、不快感、痛みなどが生じることがありますが、一般的には数日間~1、2週間で慣れてきます。
  • ②歯の動き方には個人差があり、予想された治療期間が延長する可能性があります。
  • ③矯正歯科装置の使用状況、顎間ゴムの使用状況、定期的な通院など、矯正歯科治療には患者さんの協力が必要であり、それらが治療結果や治療期間に影響します。
  • ④治療中は矯正歯科装置が歯の表面に付いているため食物が溜りやすく、また歯が磨きにくくなるため、むし歯や歯周病が生じるリスクが高まります。したがってハミガキを適切に行い、お口の中を常に清潔に保ち、さらに、かかりつけ歯科医に定期的に受診することが大切です。また、歯が動くと隠れていたむし歯があることが判明することもあります。
  • ⑤歯を動かすことにより歯根が吸収して短くなることや歯肉がやせて下がることがあります。
  • ⑥ごくまれに歯が骨と癒着していて歯が動かないことがあります。
  • ⑦ごくまれに歯を動かすことで神経が障害を受けて壊死することがあります。
  • ⑧矯正歯科装置などにより金属等のアレルギー症状が出ることがあります。
  • ⑨治療中に顎関節の痛み、音が鳴る、口が開けにくいなどの症状が生じることがあります。
  • ⑩治療の経過によっては当初予定していた治療計画を変更する可能性があります。
  • ⑪歯の形の修正や咬み合わせの微調整を行う可能性があります。
  • ⑫矯正歯科装置を誤飲する可能性があります。
  • ⑬矯正歯科装置を外す際にエナメル質に微小な亀裂が入る可能性や、かぶせ物(補綴物)の一部が破損する可能性があります。
  • ⑭動的治療が終了し装置が外れた後に現在の咬み合わせに合った状態のかぶせ物(補綴物)やむし歯の治療(修復物)などをやりなおす必要性が生じる可能性があります。
  • ⑮動的治療が終了し装置が外れた後に保定装置を指示通り使用しないと、歯並びや、咬み合せの「後戻り」が生じる可能性があります。
  • ⑯あごの成長発育により咬み合せや歯並びが変化する可能性があります。
  • ⑰治療後に親知らずの影響で歯並びや咬み合せに変化が生じる可能性があります。また、加齢や歯周病などにより歯並びや咬み合せが変化することがあります。
  • ⑱矯正歯科治療は一度始めると元の状態に戻すことは難しくなります。

すべて開く +

開咬の治療例 3

初診時年齢 21歳11ヶ月 主訴 前歯で物が噛めない
診断名 顎変形症 開咬 治療に用いた主な装置 マルチブラケット装置
抜歯の有無 非抜歯 治療期間/回数 1年6ヶ月/15回
費用の総額 保険適用 費用内訳
  • 保険適用
リスク
  • ・装置が付くと装置に擦れて口内炎が出来やすくなる
  • ・歯が動くときに痛みがでることがある
  • ・装置が付くと歯みがきが難しくなるため虫歯や歯肉炎につながりやすい
  • ・患者様に協力していただけないことがあると治療が進まない事がある
  • ・治療後、保定装置(リテーナー)を指示通り入れないことや、その他の指導内容が守れない場合、後戻りする可能性があること
  • ・入院・手術にともなうリスク・副作用がある
  • ※上記の内容は個人差があり、全ての方に当てはまるものではございませんので参考としてご覧ください。

【矯正治療に伴う一般的なリスク・副作用について】

  • ①矯正歯科装置を付けた後しばらくは違和感、不快感、痛みなどが生じることがありますが、一般的には数日間~1、2週間で慣れてきます。
  • ②歯の動き方には個人差があり、予想された治療期間が延長する可能性があります。
  • ③矯正歯科装置の使用状況、顎間ゴムの使用状況、定期的な通院など、矯正歯科治療には患者さんの協力が必要であり、それらが治療結果や治療期間に影響します。
  • ④治療中は矯正歯科装置が歯の表面に付いているため食物が溜りやすく、また歯が磨きにくくなるため、むし歯や歯周病が生じるリスクが高まります。したがってハミガキを適切に行い、お口の中を常に清潔に保ち、さらに、かかりつけ歯科医に定期的に受診することが大切です。また、歯が動くと隠れていたむし歯があることが判明することもあります。
  • ⑤歯を動かすことにより歯根が吸収して短くなることや歯肉がやせて下がることがあります。
  • ⑥ごくまれに歯が骨と癒着していて歯が動かないことがあります。
  • ⑦ごくまれに歯を動かすことで神経が障害を受けて壊死することがあります。
  • ⑧矯正歯科装置などにより金属等のアレルギー症状が出ることがあります。
  • ⑨治療中に顎関節の痛み、音が鳴る、口が開けにくいなどの症状が生じることがあります。
  • ⑩治療の経過によっては当初予定していた治療計画を変更する可能性があります。
  • ⑪歯の形の修正や咬み合わせの微調整を行う可能性があります。
  • ⑫矯正歯科装置を誤飲する可能性があります。
  • ⑬矯正歯科装置を外す際にエナメル質に微小な亀裂が入る可能性や、かぶせ物(補綴物)の一部が破損する可能性があります。
  • ⑭動的治療が終了し装置が外れた後に現在の咬み合わせに合った状態のかぶせ物(補綴物)やむし歯の治療(修復物)などをやりなおす必要性が生じる可能性があります。
  • ⑮動的治療が終了し装置が外れた後に保定装置を指示通り使用しないと、歯並びや、咬み合せの「後戻り」が生じる可能性があります。
  • ⑯あごの成長発育により咬み合せや歯並びが変化する可能性があります。
  • ⑰治療後に親知らずの影響で歯並びや咬み合せに変化が生じる可能性があります。また、加齢や歯周病などにより歯並びや咬み合せが変化することがあります。
  • ⑱矯正歯科治療は一度始めると元の状態に戻すことは難しくなります。

すべて開く +

初診時年齢 21歳11ヶ月
主訴 前歯で物が噛めない
診断名 顎変形症 開咬
治療に用いた主な装置 マルチブラケット装置
抜歯の有無 非抜歯
治療期間/回数 1年6ヶ月/15回
費用の総額 保険適用
費用内訳
  • 保険適用
リスク・副作用
  • ・装置が付くと装置に擦れて口内炎が出来やすくなる
  • ・歯が動くときに痛みがでることがある
  • ・装置が付くと歯みがきが難しくなるため虫歯や歯肉炎につながりやすい
  • ・患者様に協力していただけないことがあると治療が進まない事がある
  • ・治療後、保定装置(リテーナー)を指示通り入れないことや、その他の指導内容が守れない場合、後戻りする可能性があること
  • ・入院・手術にともなうリスク・副作用がある
  • ※上記の内容は個人差があり、全ての方に当てはまるものではございませんので参考としてご覧ください。

【矯正治療に伴う一般的なリスク・副作用について】

  • ①矯正歯科装置を付けた後しばらくは違和感、不快感、痛みなどが生じることがありますが、一般的には数日間~1、2週間で慣れてきます。
  • ②歯の動き方には個人差があり、予想された治療期間が延長する可能性があります。
  • ③矯正歯科装置の使用状況、顎間ゴムの使用状況、定期的な通院など、矯正歯科治療には患者さんの協力が必要であり、それらが治療結果や治療期間に影響します。
  • ④治療中は矯正歯科装置が歯の表面に付いているため食物が溜りやすく、また歯が磨きにくくなるため、むし歯や歯周病が生じるリスクが高まります。したがってハミガキを適切に行い、お口の中を常に清潔に保ち、さらに、かかりつけ歯科医に定期的に受診することが大切です。また、歯が動くと隠れていたむし歯があることが判明することもあります。
  • ⑤歯を動かすことにより歯根が吸収して短くなることや歯肉がやせて下がることがあります。
  • ⑥ごくまれに歯が骨と癒着していて歯が動かないことがあります。
  • ⑦ごくまれに歯を動かすことで神経が障害を受けて壊死することがあります。
  • ⑧矯正歯科装置などにより金属等のアレルギー症状が出ることがあります。
  • ⑨治療中に顎関節の痛み、音が鳴る、口が開けにくいなどの症状が生じることがあります。
  • ⑩治療の経過によっては当初予定していた治療計画を変更する可能性があります。
  • ⑪歯の形の修正や咬み合わせの微調整を行う可能性があります。
  • ⑫矯正歯科装置を誤飲する可能性があります。
  • ⑬矯正歯科装置を外す際にエナメル質に微小な亀裂が入る可能性や、かぶせ物(補綴物)の一部が破損する可能性があります。
  • ⑭動的治療が終了し装置が外れた後に現在の咬み合わせに合った状態のかぶせ物(補綴物)やむし歯の治療(修復物)などをやりなおす必要性が生じる可能性があります。
  • ⑮動的治療が終了し装置が外れた後に保定装置を指示通り使用しないと、歯並びや、咬み合せの「後戻り」が生じる可能性があります。
  • ⑯あごの成長発育により咬み合せや歯並びが変化する可能性があります。
  • ⑰治療後に親知らずの影響で歯並びや咬み合せに変化が生じる可能性があります。また、加齢や歯周病などにより歯並びや咬み合せが変化することがあります。
  • ⑱矯正歯科治療は一度始めると元の状態に戻すことは難しくなります。

すべて開く +

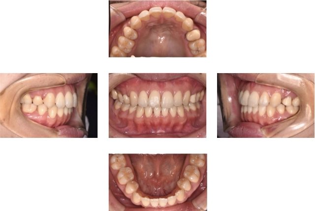
開咬の治療例 4

初診時年齢 27歳5ヶ月 主訴 出っ歯が気になる
診断名 上下顎前突 治療に用いた主な装置 マルチブラケット装置
抜歯の有無 上顎左右側4番抜歯 治療期間/回数 2年9ヶ月/30回
費用の総額 1,210,000円(税込) 費用内訳
  • 相談 無料
    検査・診断料 55,000円(税込)
    矯正装置 990,000円(税込)
    調整料 5,500円(税込) × 30回
リスク
  • ・歯が動くときに痛みがでることがある
  • ・患者様に協力していただけないことがあると治療が進まない事がある
  • ・治療後、保定装置(リテーナー)を指示通り入れないことや、その他の指導内容が守れない場合、後戻りする可能性があること
  • ※上記の内容は個人差があり、全ての方に当てはまるものではございませんので参考としてご覧ください。

【矯正治療に伴う一般的なリスク・副作用について】

  • ①矯正歯科装置を付けた後しばらくは違和感、不快感、痛みなどが生じることがありますが、一般的には数日間~1、2週間で慣れてきます。
  • ②歯の動き方には個人差があり、予想された治療期間が延長する可能性があります。
  • ③矯正歯科装置の使用状況、顎間ゴムの使用状況、定期的な通院など、矯正歯科治療には患者さんの協力が必要であり、それらが治療結果や治療期間に影響します。
  • ④治療中は矯正歯科装置が歯の表面に付いているため食物が溜りやすく、また歯が磨きにくくなるため、むし歯や歯周病が生じるリスクが高まります。したがってハミガキを適切に行い、お口の中を常に清潔に保ち、さらに、かかりつけ歯科医に定期的に受診することが大切です。また、歯が動くと隠れていたむし歯があることが判明することもあります。
  • ⑤歯を動かすことにより歯根が吸収して短くなることや歯肉がやせて下がることがあります。
  • ⑥ごくまれに歯が骨と癒着していて歯が動かないことがあります。
  • ⑦ごくまれに歯を動かすことで神経が障害を受けて壊死することがあります。
  • ⑧矯正歯科装置などにより金属等のアレルギー症状が出ることがあります。
  • ⑨治療中に顎関節の痛み、音が鳴る、口が開けにくいなどの症状が生じることがあります。
  • ⑩治療の経過によっては当初予定していた治療計画を変更する可能性があります。
  • ⑪歯の形の修正や咬み合わせの微調整を行う可能性があります。
  • ⑫矯正歯科装置を誤飲する可能性があります。
  • ⑬矯正歯科装置を外す際にエナメル質に微小な亀裂が入る可能性や、かぶせ物(補綴物)の一部が破損する可能性があります。
  • ⑭動的治療が終了し装置が外れた後に現在の咬み合わせに合った状態のかぶせ物(補綴物)やむし歯の治療(修復物)などをやりなおす必要性が生じる可能性があります。
  • ⑮動的治療が終了し装置が外れた後に保定装置を指示通り使用しないと、歯並びや、咬み合せの「後戻り」が生じる可能性があります。
  • ⑯あごの成長発育により咬み合せや歯並びが変化する可能性があります。
  • ⑰治療後に親知らずの影響で歯並びや咬み合せに変化が生じる可能性があります。また、加齢や歯周病などにより歯並びや咬み合せが変化することがあります。
  • ⑱矯正歯科治療は一度始めると元の状態に戻すことは難しくなります。

すべて開く +

初診時年齢 27歳5ヶ月
主訴 出っ歯が気になる
診断名 上下顎前突
治療に用いた主な装置 マルチブラケット装置
抜歯の有無 上顎左右側4番抜歯
治療期間/回数 2年9ヶ月/30回
費用の総額 1,210,000円(税込)
費用内訳
  • 相談 無料
    検査・診断料 55,000円(税込)
    矯正装置 990,000円(税込)
    調整料 5,500円(税込) × 30回
リスク・副作用
  • ・歯が動くときに痛みがでることがある
  • ・患者様に協力していただけないことがあると治療が進まない事がある
  • ・治療後、保定装置(リテーナー)を指示通り入れないことや、その他の指導内容が守れない場合、後戻りする可能性があること
  • ※上記の内容は個人差があり、全ての方に当てはまるものではございませんので参考としてご覧ください。

【矯正治療に伴う一般的なリスク・副作用について】

  • ①矯正歯科装置を付けた後しばらくは違和感、不快感、痛みなどが生じることがありますが、一般的には数日間~1、2週間で慣れてきます。
  • ②歯の動き方には個人差があり、予想された治療期間が延長する可能性があります。
  • ③矯正歯科装置の使用状況、顎間ゴムの使用状況、定期的な通院など、矯正歯科治療には患者さんの協力が必要であり、それらが治療結果や治療期間に影響します。
  • ④治療中は矯正歯科装置が歯の表面に付いているため食物が溜りやすく、また歯が磨きにくくなるため、むし歯や歯周病が生じるリスクが高まります。したがってハミガキを適切に行い、お口の中を常に清潔に保ち、さらに、かかりつけ歯科医に定期的に受診することが大切です。また、歯が動くと隠れていたむし歯があることが判明することもあります。
  • ⑤歯を動かすことにより歯根が吸収して短くなることや歯肉がやせて下がることがあります。
  • ⑥ごくまれに歯が骨と癒着していて歯が動かないことがあります。
  • ⑦ごくまれに歯を動かすことで神経が障害を受けて壊死することがあります。
  • ⑧矯正歯科装置などにより金属等のアレルギー症状が出ることがあります。
  • ⑨治療中に顎関節の痛み、音が鳴る、口が開けにくいなどの症状が生じることがあります。
  • ⑩治療の経過によっては当初予定していた治療計画を変更する可能性があります。
  • ⑪歯の形の修正や咬み合わせの微調整を行う可能性があります。
  • ⑫矯正歯科装置を誤飲する可能性があります。
  • ⑬矯正歯科装置を外す際にエナメル質に微小な亀裂が入る可能性や、かぶせ物(補綴物)の一部が破損する可能性があります。
  • ⑭動的治療が終了し装置が外れた後に現在の咬み合わせに合った状態のかぶせ物(補綴物)やむし歯の治療(修復物)などをやりなおす必要性が生じる可能性があります。
  • ⑮動的治療が終了し装置が外れた後に保定装置を指示通り使用しないと、歯並びや、咬み合せの「後戻り」が生じる可能性があります。
  • ⑯あごの成長発育により咬み合せや歯並びが変化する可能性があります。
  • ⑰治療後に親知らずの影響で歯並びや咬み合せに変化が生じる可能性があります。また、加齢や歯周病などにより歯並びや咬み合せが変化することがあります。
  • ⑱矯正歯科治療は一度始めると元の状態に戻すことは難しくなります。

すべて開く +

矯正治療におけるリスク

矯正治療におけるリスク 矯正治療におけるリスク