出っ歯(上顎前突) 出っ歯(上顎前突)

出っ歯(上顎前突)の矯正例

出っ歯(上顎前突)

上の前歯が強く前に傾斜していたり、上アゴが骨格的に前に出ていたりする状態をいいます。 そのような場合、唇を自然に閉じることが難しく口元の突出感に繋がります。 治療を行い突出感が改善されることで、口元や横顔の印象が美しく変化します。

出っ歯(上顎前突)の原因

  • 前歯が前に傾斜している
  • 上アゴが前にズレている
  • 上アゴの過成長・下アゴの劣成長
  • 舌の癖(舌癖)
  • 長期にわたる口呼吸
  • 爪噛み・指しゃぶり    など

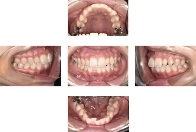
出っ歯(上顎前突)治療 1

初診時年齢 11歳6ヶ月 主訴 出っ歯が気になる
診断名 上顎前突 治療に用いた主な装置 マルチブラケット装置
抜歯部位 抜歯(上下顎左右側4番抜歯) 治療期間/回数 2年6ヶ月/30回
費用の総額 1,100,000円(税込) 費用内訳
  • 相談 無料
  • 検査・診断料 55,000円(税込)
  • マルチブラケット矯正装置 880,000円(税込)
  • 調整料 5,500円(税込)✕30回
リスク
  • ・装置が付くと装置に擦れて口内炎が出来やすくなる
  • ・歯が動くときに痛みがでることがある
  • ・装置が付くと歯みがきが難しくなるため虫歯や歯肉炎につながりやすい
  • ・患者様に協力していただけないことがあると治療が進まない事がある
  • ・治療後、保定装置(リテーナー)を指示通り入れないことや、その他の指導内容が守れない場合、後戻りする可能性があること
  • ※上記の内容は個人差があり、全ての方に当てはまるものではございませんので参考としてご覧ください。

【矯正治療に伴う一般的なリスク・副作用について】

  • ①矯正歯科装置を付けた後しばらくは違和感、不快感、痛みなどが生じることがありますが、一般的には数日間~1、2週間で慣れてきます。
  • ②歯の動き方には個人差があり、予想された治療期間が延長する可能性があります。
  • ③矯正歯科装置の使用状況、顎間ゴムの使用状況、定期的な通院など、矯正歯科治療には患者さんの協力が必要であり、それらが治療結果や治療期間に影響します。
  • ④治療中は矯正歯科装置が歯の表面に付いているため食物が溜りやすく、また歯が磨きにくくなるため、むし歯や歯周病が生じるリスクが高まります。したがってハミガキを適切に行い、お口の中を常に清潔に保ち、さらに、かかりつけ歯科医に定期的に受診することが大切です。また、歯が動くと隠れていたむし歯があることが判明することもあります。
  • ⑤歯を動かすことにより歯根が吸収して短くなることや歯肉がやせて下がることがあります。
  • ⑥ごくまれに歯が骨と癒着していて歯が動かないことがあります。
  • ⑦ごくまれに歯を動かすことで神経が障害を受けて壊死することがあります。
  • ⑧矯正歯科装置などにより金属等のアレルギー症状が出ることがあります。
  • ⑨治療中に顎関節の痛み、音が鳴る、口が開けにくいなどの症状が生じることがあります。
  • ⑩治療の経過によっては当初予定していた治療計画を変更する可能性があります。
  • ⑪歯の形の修正や咬み合わせの微調整を行う可能性があります。
  • ⑫矯正歯科装置を誤飲する可能性があります。
  • ⑬矯正歯科装置を外す際にエナメル質に微小な亀裂が入る可能性や、かぶせ物(補綴物)の一部が破損する可能性があります。
  • ⑭動的治療が終了し装置が外れた後に現在の咬み合わせに合った状態のかぶせ物(補綴物)やむし歯の治療(修復物)などをやりなおす必要性が生じる可能性があります。
  • ⑮動的治療が終了し装置が外れた後に保定装置を指示通り使用しないと、歯並びや、咬み合せの「後戻り」が生じる可能性があります。
  • ⑯あごの成長発育により咬み合せや歯並びが変化する可能性があります。
  • ⑰治療後に親知らずの影響で歯並びや咬み合せに変化が生じる可能性があります。また、加齢や歯周病などにより歯並びや咬み合せが変化することがあります。
  • ⑱矯正歯科治療は一度始めると元の状態に戻すことは難しくなります。

すべて開く +

初診時年齢 11歳6ヶ月
主訴 出っ歯が気になる
診断名 上顎前突
治療に用いた主な装置 マルチブラケット装置
抜歯部位 抜歯(上下顎左右側4番抜歯)
治療期間/回数 2年6ヶ月/30回
費用の総額 1,100,000円(税込)
費用内訳
  • 相談 無料
  • 検査・診断料 55,000円(税込)
  • マルチブラケット矯正装置 880,000円(税込)
  • 調整料 5,500円(税込)✕30回
リスク・副作用
  • ・装置が付くと装置に擦れて口内炎が出来やすくなる
  • ・歯が動くときに痛みがでることがある
  • ・装置が付くと歯みがきが難しくなるため虫歯や歯肉炎につながりやすい
  • ・患者様に協力していただけないことがあると治療が進まない事がある
  • ・治療後、保定装置(リテーナー)を指示通り入れないことや、その他の指導内容が守れない場合、後戻りする可能性があること
  • ※上記の内容は個人差があり、全ての方に当てはまるものではございませんので参考としてご覧ください。

【矯正治療に伴う一般的なリスク・副作用について】

  • ①矯正歯科装置を付けた後しばらくは違和感、不快感、痛みなどが生じることがありますが、一般的には数日間~1、2週間で慣れてきます。
  • ②歯の動き方には個人差があり、予想された治療期間が延長する可能性があります。
  • ③矯正歯科装置の使用状況、顎間ゴムの使用状況、定期的な通院など、矯正歯科治療には患者さんの協力が必要であり、それらが治療結果や治療期間に影響します。
  • ④治療中は矯正歯科装置が歯の表面に付いているため食物が溜りやすく、また歯が磨きにくくなるため、むし歯や歯周病が生じるリスクが高まります。したがってハミガキを適切に行い、お口の中を常に清潔に保ち、さらに、かかりつけ歯科医に定期的に受診することが大切です。また、歯が動くと隠れていたむし歯があることが判明することもあります。
  • ⑤歯を動かすことにより歯根が吸収して短くなることや歯肉がやせて下がることがあります。
  • ⑥ごくまれに歯が骨と癒着していて歯が動かないことがあります。
  • ⑦ごくまれに歯を動かすことで神経が障害を受けて壊死することがあります。
  • ⑧矯正歯科装置などにより金属等のアレルギー症状が出ることがあります。
  • ⑨治療中に顎関節の痛み、音が鳴る、口が開けにくいなどの症状が生じることがあります。
  • ⑩治療の経過によっては当初予定していた治療計画を変更する可能性があります。
  • ⑪歯の形の修正や咬み合わせの微調整を行う可能性があります。
  • ⑫矯正歯科装置を誤飲する可能性があります。
  • ⑬矯正歯科装置を外す際にエナメル質に微小な亀裂が入る可能性や、かぶせ物(補綴物)の一部が破損する可能性があります。
  • ⑭動的治療が終了し装置が外れた後に現在の咬み合わせに合った状態のかぶせ物(補綴物)やむし歯の治療(修復物)などをやりなおす必要性が生じる可能性があります。
  • ⑮動的治療が終了し装置が外れた後に保定装置を指示通り使用しないと、歯並びや、咬み合せの「後戻り」が生じる可能性があります。
  • ⑯あごの成長発育により咬み合せや歯並びが変化する可能性があります。
  • ⑰治療後に親知らずの影響で歯並びや咬み合せに変化が生じる可能性があります。また、加齢や歯周病などにより歯並びや咬み合せが変化することがあります。
  • ⑱矯正歯科治療は一度始めると元の状態に戻すことは難しくなります。

すべて開く +

出っ歯(上顎前突)治療 2

初診時年齢 11歳6ヶ月 主訴 口が閉じれない
診断名 上顎前突 治療に用いた主な装置 マルチブラケット装置
抜歯部位 抜歯(上下顎左右側4番抜歯) 治療期間/回数 2年4ヶ月/28回
費用の総額 1,089,000円(税込) 費用内訳
  • 相談 無料
  • 検査・診断料 55,000円(税込)
  • マルチブラケット矯正装置 880,000円(税込)
  • 調整料 5,500円(税込)✕28回
リスク
  • ・装置が付くと装置に擦れて口内炎が出来やすくなる
  • ・歯が動くときに痛みがでることがある
  • ・装置が付くと歯みがきが難しくなるため虫歯や歯肉炎につながりやすい
  • ・患者様に協力していただけないことがあると治療が進まない事がある
  • ・治療後、保定装置(リテーナー)を指示通り入れないことや、その他の指導内容が守れない場合、後戻りする可能性があること
  • ※上記の内容は個人差があり、全ての方に当てはまるものではございませんので参考としてご覧ください。

【矯正治療に伴う一般的なリスク・副作用について】

  • ①矯正歯科装置を付けた後しばらくは違和感、不快感、痛みなどが生じることがありますが、一般的には数日間~1、2週間で慣れてきます。
  • ②歯の動き方には個人差があり、予想された治療期間が延長する可能性があります。
  • ③矯正歯科装置の使用状況、顎間ゴムの使用状況、定期的な通院など、矯正歯科治療には患者さんの協力が必要であり、それらが治療結果や治療期間に影響します。
  • ④治療中は矯正歯科装置が歯の表面に付いているため食物が溜りやすく、また歯が磨きにくくなるため、むし歯や歯周病が生じるリスクが高まります。したがってハミガキを適切に行い、お口の中を常に清潔に保ち、さらに、かかりつけ歯科医に定期的に受診することが大切です。また、歯が動くと隠れていたむし歯があることが判明することもあります。
  • ⑤歯を動かすことにより歯根が吸収して短くなることや歯肉がやせて下がることがあります。
  • ⑥ごくまれに歯が骨と癒着していて歯が動かないことがあります。
  • ⑦ごくまれに歯を動かすことで神経が障害を受けて壊死することがあります。
  • ⑧矯正歯科装置などにより金属等のアレルギー症状が出ることがあります。
  • ⑨治療中に顎関節の痛み、音が鳴る、口が開けにくいなどの症状が生じることがあります。
  • ⑩治療の経過によっては当初予定していた治療計画を変更する可能性があります。
  • ⑪歯の形の修正や咬み合わせの微調整を行う可能性があります。
  • ⑫矯正歯科装置を誤飲する可能性があります。
  • ⑬矯正歯科装置を外す際にエナメル質に微小な亀裂が入る可能性や、かぶせ物(補綴物)の一部が破損する可能性があります。
  • ⑭動的治療が終了し装置が外れた後に現在の咬み合わせに合った状態のかぶせ物(補綴物)やむし歯の治療(修復物)などをやりなおす必要性が生じる可能性があります。
  • ⑮動的治療が終了し装置が外れた後に保定装置を指示通り使用しないと、歯並びや、咬み合せの「後戻り」が生じる可能性があります。
  • ⑯あごの成長発育により咬み合せや歯並びが変化する可能性があります。
  • ⑰治療後に親知らずの影響で歯並びや咬み合せに変化が生じる可能性があります。また、加齢や歯周病などにより歯並びや咬み合せが変化することがあります。
  • ⑱矯正歯科治療は一度始めると元の状態に戻すことは難しくなります。

すべて開く +

初診時年齢 11歳6ヶ月
主訴 口が閉じれない
診断名 上顎前突
治療に用いた主な装置 マルチブラケット装置
抜歯部位 抜歯(上下顎左右側4番抜歯)
治療期間/回数 2年4ヶ月/28回
費用の総額 1,089,000円(税込)
費用内訳
  • 相談 無料
  • 検査・診断料 55,000円(税込)
  • マルチブラケット矯正装置 880,000円(税込)
  • 調整料 5,500円(税込)✕28回
リスク・副作用
  • ・装置が付くと装置に擦れて口内炎が出来やすくなる
  • ・歯が動くときに痛みがでることがある
  • ・装置が付くと歯みがきが難しくなるため虫歯や歯肉炎につながりやすい
  • ・患者様に協力していただけないことがあると治療が進まない事がある
  • ・治療後、保定装置(リテーナー)を指示通り入れないことや、その他の指導内容が守れない場合、後戻りする可能性があること
  • ※上記の内容は個人差があり、全ての方に当てはまるものではございませんので参考としてご覧ください。

【矯正治療に伴う一般的なリスク・副作用について】

  • ①矯正歯科装置を付けた後しばらくは違和感、不快感、痛みなどが生じることがありますが、一般的には数日間~1、2週間で慣れてきます。
  • ②歯の動き方には個人差があり、予想された治療期間が延長する可能性があります。
  • ③矯正歯科装置の使用状況、顎間ゴムの使用状況、定期的な通院など、矯正歯科治療には患者さんの協力が必要であり、それらが治療結果や治療期間に影響します。
  • ④治療中は矯正歯科装置が歯の表面に付いているため食物が溜りやすく、また歯が磨きにくくなるため、むし歯や歯周病が生じるリスクが高まります。したがってハミガキを適切に行い、お口の中を常に清潔に保ち、さらに、かかりつけ歯科医に定期的に受診することが大切です。また、歯が動くと隠れていたむし歯があることが判明することもあります。
  • ⑤歯を動かすことにより歯根が吸収して短くなることや歯肉がやせて下がることがあります。
  • ⑥ごくまれに歯が骨と癒着していて歯が動かないことがあります。
  • ⑦ごくまれに歯を動かすことで神経が障害を受けて壊死することがあります。
  • ⑧矯正歯科装置などにより金属等のアレルギー症状が出ることがあります。
  • ⑨治療中に顎関節の痛み、音が鳴る、口が開けにくいなどの症状が生じることがあります。
  • ⑩治療の経過によっては当初予定していた治療計画を変更する可能性があります。
  • ⑪歯の形の修正や咬み合わせの微調整を行う可能性があります。
  • ⑫矯正歯科装置を誤飲する可能性があります。
  • ⑬矯正歯科装置を外す際にエナメル質に微小な亀裂が入る可能性や、かぶせ物(補綴物)の一部が破損する可能性があります。
  • ⑭動的治療が終了し装置が外れた後に現在の咬み合わせに合った状態のかぶせ物(補綴物)やむし歯の治療(修復物)などをやりなおす必要性が生じる可能性があります。
  • ⑮動的治療が終了し装置が外れた後に保定装置を指示通り使用しないと、歯並びや、咬み合せの「後戻り」が生じる可能性があります。
  • ⑯あごの成長発育により咬み合せや歯並びが変化する可能性があります。
  • ⑰治療後に親知らずの影響で歯並びや咬み合せに変化が生じる可能性があります。また、加齢や歯周病などにより歯並びや咬み合せが変化することがあります。
  • ⑱矯正歯科治療は一度始めると元の状態に戻すことは難しくなります。

すべて開く +

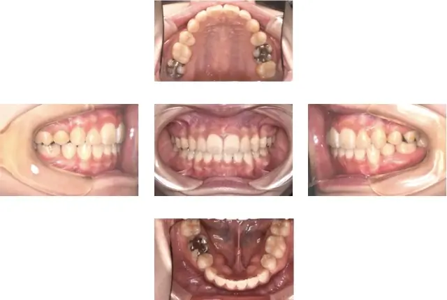
出っ歯(上顎前突)治療 3

初診時年齢 13歳1ヶ月 主訴 出っ歯が気になる
診断名 上顎前突 治療に用いた主な装置 マルチブラケット装置
抜歯部位 上顎左右4番抜歯 治療期間/回数 2年0ヶ月/20回
費用の総額 1,045,000円(税込) 費用内訳
  • 相談 無料
  • 検査・診断料 55,000円(税込)
  • マルチブラケット矯正装置 880,000円(税込)
  • 調整料 5,500円(税込)✕20回
リスク
  • ・装置が付くと装置に擦れて口内炎が出来やすくなる
  • ・歯が動くときに痛みがでることがある
  • ・装置が付くと歯みがきが難しくなるため虫歯や歯肉炎につながりやすい
  • ・患者様に協力していただけないことがあると治療が進まない事がある
  • ・治療後、保定装置(リテーナー)を指示通り入れないことや、その他の指導内容が守れない場合、後戻りする可能性があること
  • ※上記の内容は個人差があり、全ての方に当てはまるものではございませんので参考としてご覧ください。

【矯正治療に伴う一般的なリスク・副作用について】

  • ①矯正歯科装置を付けた後しばらくは違和感、不快感、痛みなどが生じることがありますが、一般的には数日間~1、2週間で慣れてきます。
  • ②歯の動き方には個人差があり、予想された治療期間が延長する可能性があります。
  • ③矯正歯科装置の使用状況、顎間ゴムの使用状況、定期的な通院など、矯正歯科治療には患者さんの協力が必要であり、それらが治療結果や治療期間に影響します。
  • ④治療中は矯正歯科装置が歯の表面に付いているため食物が溜りやすく、また歯が磨きにくくなるため、むし歯や歯周病が生じるリスクが高まります。したがってハミガキを適切に行い、お口の中を常に清潔に保ち、さらに、かかりつけ歯科医に定期的に受診することが大切です。また、歯が動くと隠れていたむし歯があることが判明することもあります。
  • ⑤歯を動かすことにより歯根が吸収して短くなることや歯肉がやせて下がることがあります。
  • ⑥ごくまれに歯が骨と癒着していて歯が動かないことがあります。
  • ⑦ごくまれに歯を動かすことで神経が障害を受けて壊死することがあります。
  • ⑧矯正歯科装置などにより金属等のアレルギー症状が出ることがあります。
  • ⑨治療中に顎関節の痛み、音が鳴る、口が開けにくいなどの症状が生じることがあります。
  • ⑩治療の経過によっては当初予定していた治療計画を変更する可能性があります。
  • ⑪歯の形の修正や咬み合わせの微調整を行う可能性があります。
  • ⑫矯正歯科装置を誤飲する可能性があります。
  • ⑬矯正歯科装置を外す際にエナメル質に微小な亀裂が入る可能性や、かぶせ物(補綴物)の一部が破損する可能性があります。
  • ⑭動的治療が終了し装置が外れた後に現在の咬み合わせに合った状態のかぶせ物(補綴物)やむし歯の治療(修復物)などをやりなおす必要性が生じる可能性があります。
  • ⑮動的治療が終了し装置が外れた後に保定装置を指示通り使用しないと、歯並びや、咬み合せの「後戻り」が生じる可能性があります。
  • ⑯あごの成長発育により咬み合せや歯並びが変化する可能性があります。
  • ⑰治療後に親知らずの影響で歯並びや咬み合せに変化が生じる可能性があります。また、加齢や歯周病などにより歯並びや咬み合せが変化することがあります。
  • ⑱矯正歯科治療は一度始めると元の状態に戻すことは難しくなります。

すべて開く +

初診時年齢 13歳1ヶ月
主訴 出っ歯が気になる
診断名 上顎前突
治療に用いた主な装置 マルチブラケット装置
抜歯部位 抜歯(上下顎左右側4番抜歯)
治療期間/回数 2年0ヶ月/20回
費用の総額 1,045,000円(税込)
費用内訳
  • 相談 無料
  • 検査・診断料 55,000円(税込)
  • マルチブラケット矯正装置 880,000円(税込)
  • 調整料 5,500円(税込)✕20回
リスク・副作用
  • ・装置が付くと装置に擦れて口内炎が出来やすくなる
  • ・歯が動くときに痛みがでることがある
  • ・装置が付くと歯みがきが難しくなるため虫歯や歯肉炎につながりやすい
  • ・患者様に協力していただけないことがあると治療が進まない事がある
  • ・治療後、保定装置(リテーナー)を指示通り入れないことや、その他の指導内容が守れない場合、後戻りする可能性があること
  • ※上記の内容は個人差があり、全ての方に当てはまるものではございませんので参考としてご覧ください。

【矯正治療に伴う一般的なリスク・副作用について】

  • ①矯正歯科装置を付けた後しばらくは違和感、不快感、痛みなどが生じることがありますが、一般的には数日間~1、2週間で慣れてきます。
  • ②歯の動き方には個人差があり、予想された治療期間が延長する可能性があります。
  • ③矯正歯科装置の使用状況、顎間ゴムの使用状況、定期的な通院など、矯正歯科治療には患者さんの協力が必要であり、それらが治療結果や治療期間に影響します。
  • ④治療中は矯正歯科装置が歯の表面に付いているため食物が溜りやすく、また歯が磨きにくくなるため、むし歯や歯周病が生じるリスクが高まります。したがってハミガキを適切に行い、お口の中を常に清潔に保ち、さらに、かかりつけ歯科医に定期的に受診することが大切です。また、歯が動くと隠れていたむし歯があることが判明することもあります。
  • ⑤歯を動かすことにより歯根が吸収して短くなることや歯肉がやせて下がることがあります。
  • ⑥ごくまれに歯が骨と癒着していて歯が動かないことがあります。
  • ⑦ごくまれに歯を動かすことで神経が障害を受けて壊死することがあります。
  • ⑧矯正歯科装置などにより金属等のアレルギー症状が出ることがあります。
  • ⑨治療中に顎関節の痛み、音が鳴る、口が開けにくいなどの症状が生じることがあります。
  • ⑩治療の経過によっては当初予定していた治療計画を変更する可能性があります。
  • ⑪歯の形の修正や咬み合わせの微調整を行う可能性があります。
  • ⑫矯正歯科装置を誤飲する可能性があります。
  • ⑬矯正歯科装置を外す際にエナメル質に微小な亀裂が入る可能性や、かぶせ物(補綴物)の一部が破損する可能性があります。
  • ⑭動的治療が終了し装置が外れた後に現在の咬み合わせに合った状態のかぶせ物(補綴物)やむし歯の治療(修復物)などをやりなおす必要性が生じる可能性があります。
  • ⑮動的治療が終了し装置が外れた後に保定装置を指示通り使用しないと、歯並びや、咬み合せの「後戻り」が生じる可能性があります。
  • ⑯あごの成長発育により咬み合せや歯並びが変化する可能性があります。
  • ⑰治療後に親知らずの影響で歯並びや咬み合せに変化が生じる可能性があります。また、加齢や歯周病などにより歯並びや咬み合せが変化することがあります。
  • ⑱矯正歯科治療は一度始めると元の状態に戻すことは難しくなります。

すべて開く +

出っ歯(上顎前突)治療 4

初診時年齢 13歳6ヶ月 主訴 出っ歯が気になる
診断名 上顎前突 治療に用いた主な装置 マルチブラケット装置
抜歯部位 非抜歯 治療期間/回数 2年0ヶ月/24回
費用の総額 1,067,000円(税込) 費用内訳
  • 相談 無料
  • 検査・診断料 55,000円(税込)
  • マルチブラケット矯正装置 880,000円(税込)
  • 調整料 5,500円(税込)✕24回
リスク
  • ・装置が付くと装置に擦れて口内炎が出来やすくなる
  • ・歯が動くときに痛みがでることがある
  • ・装置が付くと歯みがきが難しくなるため虫歯や歯肉炎につながりやすい
  • ・患者様に協力していただけないことがあると治療が進まない事がある
  • ・治療後、保定装置(リテーナー)を指示通り入れないことや、その他の指導内容が守れない場合、後戻りする可能性があること
  • ※上記の内容は個人差があり、全ての方に当てはまるものではございませんので参考としてご覧ください。

【矯正治療に伴う一般的なリスク・副作用について】

  • ①矯正歯科装置を付けた後しばらくは違和感、不快感、痛みなどが生じることがありますが、一般的には数日間~1、2週間で慣れてきます。
  • ②歯の動き方には個人差があり、予想された治療期間が延長する可能性があります。
  • ③矯正歯科装置の使用状況、顎間ゴムの使用状況、定期的な通院など、矯正歯科治療には患者さんの協力が必要であり、それらが治療結果や治療期間に影響します。
  • ④治療中は矯正歯科装置が歯の表面に付いているため食物が溜りやすく、また歯が磨きにくくなるため、むし歯や歯周病が生じるリスクが高まります。したがってハミガキを適切に行い、お口の中を常に清潔に保ち、さらに、かかりつけ歯科医に定期的に受診することが大切です。また、歯が動くと隠れていたむし歯があることが判明することもあります。
  • ⑤歯を動かすことにより歯根が吸収して短くなることや歯肉がやせて下がることがあります。
  • ⑥ごくまれに歯が骨と癒着していて歯が動かないことがあります。
  • ⑦ごくまれに歯を動かすことで神経が障害を受けて壊死することがあります。
  • ⑧矯正歯科装置などにより金属等のアレルギー症状が出ることがあります。
  • ⑨治療中に顎関節の痛み、音が鳴る、口が開けにくいなどの症状が生じることがあります。
  • ⑩治療の経過によっては当初予定していた治療計画を変更する可能性があります。
  • ⑪歯の形の修正や咬み合わせの微調整を行う可能性があります。
  • ⑫矯正歯科装置を誤飲する可能性があります。
  • ⑬矯正歯科装置を外す際にエナメル質に微小な亀裂が入る可能性や、かぶせ物(補綴物)の一部が破損する可能性があります。
  • ⑭動的治療が終了し装置が外れた後に現在の咬み合わせに合った状態のかぶせ物(補綴物)やむし歯の治療(修復物)などをやりなおす必要性が生じる可能性があります。
  • ⑮動的治療が終了し装置が外れた後に保定装置を指示通り使用しないと、歯並びや、咬み合せの「後戻り」が生じる可能性があります。
  • ⑯あごの成長発育により咬み合せや歯並びが変化する可能性があります。
  • ⑰治療後に親知らずの影響で歯並びや咬み合せに変化が生じる可能性があります。また、加齢や歯周病などにより歯並びや咬み合せが変化することがあります。
  • ⑱矯正歯科治療は一度始めると元の状態に戻すことは難しくなります。

すべて開く +

初診時年齢 13歳6ヶ月
主訴 出っ歯が気になる
診断名 上顎前突
治療に用いた主な装置 マルチブラケット装置
抜歯部位 非抜歯
治療期間/回数 2年0ヶ月/24回
費用の総額 1,067,000円(税込)
費用内訳
  • 相談 無料
  • 検査・診断料 55,000円(税込)
  • マルチブラケット矯正装置 880,000円(税込)
  • 調整料 5,500円(税込)✕24回
リスク・副作用
  • ・装置が付くと装置に擦れて口内炎が出来やすくなる
  • ・歯が動くときに痛みがでることがある
  • ・装置が付くと歯みがきが難しくなるため虫歯や歯肉炎につながりやすい
  • ・患者様に協力していただけないことがあると治療が進まない事がある
  • ・治療後、保定装置(リテーナー)を指示通り入れないことや、その他の指導内容が守れない場合、後戻りする可能性があること
  • ※上記の内容は個人差があり、全ての方に当てはまるものではございませんので参考としてご覧ください。

【矯正治療に伴う一般的なリスク・副作用について】

  • ①矯正歯科装置を付けた後しばらくは違和感、不快感、痛みなどが生じることがありますが、一般的には数日間~1、2週間で慣れてきます。
  • ②歯の動き方には個人差があり、予想された治療期間が延長する可能性があります。
  • ③矯正歯科装置の使用状況、顎間ゴムの使用状況、定期的な通院など、矯正歯科治療には患者さんの協力が必要であり、それらが治療結果や治療期間に影響します。
  • ④治療中は矯正歯科装置が歯の表面に付いているため食物が溜りやすく、また歯が磨きにくくなるため、むし歯や歯周病が生じるリスクが高まります。したがってハミガキを適切に行い、お口の中を常に清潔に保ち、さらに、かかりつけ歯科医に定期的に受診することが大切です。また、歯が動くと隠れていたむし歯があることが判明することもあります。
  • ⑤歯を動かすことにより歯根が吸収して短くなることや歯肉がやせて下がることがあります。
  • ⑥ごくまれに歯が骨と癒着していて歯が動かないことがあります。
  • ⑦ごくまれに歯を動かすことで神経が障害を受けて壊死することがあります。
  • ⑧矯正歯科装置などにより金属等のアレルギー症状が出ることがあります。
  • ⑨治療中に顎関節の痛み、音が鳴る、口が開けにくいなどの症状が生じることがあります。
  • ⑩治療の経過によっては当初予定していた治療計画を変更する可能性があります。
  • ⑪歯の形の修正や咬み合わせの微調整を行う可能性があります。
  • ⑫矯正歯科装置を誤飲する可能性があります。
  • ⑬矯正歯科装置を外す際にエナメル質に微小な亀裂が入る可能性や、かぶせ物(補綴物)の一部が破損する可能性があります。
  • ⑭動的治療が終了し装置が外れた後に現在の咬み合わせに合った状態のかぶせ物(補綴物)やむし歯の治療(修復物)などをやりなおす必要性が生じる可能性があります。
  • ⑮動的治療が終了し装置が外れた後に保定装置を指示通り使用しないと、歯並びや、咬み合せの「後戻り」が生じる可能性があります。
  • ⑯あごの成長発育により咬み合せや歯並びが変化する可能性があります。
  • ⑰治療後に親知らずの影響で歯並びや咬み合せに変化が生じる可能性があります。また、加齢や歯周病などにより歯並びや咬み合せが変化することがあります。
  • ⑱矯正歯科治療は一度始めると元の状態に戻すことは難しくなります。

すべて開く +

出っ歯(上顎前突)治療 5

初診時年齢 12歳1ヶ月 主訴 口元が気になる
診断名 上下顎前突 治療に用いた主な装置 マルチブラケット装置
抜歯部位 抜歯(上下顎左右側4番抜歯) 治療期間/回数 2年5ヶ月/26回
費用の総額 1,078,000円(税込) 費用内訳
  • 相談 無料
  • 検査・診断料 55,000円(税込)
  • マルチブラケット矯正装置 880,000円(税込)
  • 調整料 5,500円(税込)✕26回
リスク
  • ・装置が付くと装置に擦れて口内炎が出来やすくなる
  • ・歯が動くときに痛みがでることがある
  • ・装置が付くと歯みがきが難しくなるため虫歯や歯肉炎につながりやすい
  • ・患者様に協力していただけないことがあると治療が進まない事がある
  • ・治療後、保定装置(リテーナー)を指示通り入れないことや、その他の指導内容が守れない場合、後戻りする可能性があること
  • ※上記の内容は個人差があり、全ての方に当てはまるものではございませんので参考としてご覧ください。

【矯正治療に伴う一般的なリスク・副作用について】

  • ①矯正歯科装置を付けた後しばらくは違和感、不快感、痛みなどが生じることがありますが、一般的には数日間~1、2週間で慣れてきます。
  • ②歯の動き方には個人差があり、予想された治療期間が延長する可能性があります。
  • ③矯正歯科装置の使用状況、顎間ゴムの使用状況、定期的な通院など、矯正歯科治療には患者さんの協力が必要であり、それらが治療結果や治療期間に影響します。
  • ④治療中は矯正歯科装置が歯の表面に付いているため食物が溜りやすく、また歯が磨きにくくなるため、むし歯や歯周病が生じるリスクが高まります。したがってハミガキを適切に行い、お口の中を常に清潔に保ち、さらに、かかりつけ歯科医に定期的に受診することが大切です。また、歯が動くと隠れていたむし歯があることが判明することもあります。
  • ⑤歯を動かすことにより歯根が吸収して短くなることや歯肉がやせて下がることがあります。
  • ⑥ごくまれに歯が骨と癒着していて歯が動かないことがあります。
  • ⑦ごくまれに歯を動かすことで神経が障害を受けて壊死することがあります。
  • ⑧矯正歯科装置などにより金属等のアレルギー症状が出ることがあります。
  • ⑨治療中に顎関節の痛み、音が鳴る、口が開けにくいなどの症状が生じることがあります。
  • ⑩治療の経過によっては当初予定していた治療計画を変更する可能性があります。
  • ⑪歯の形の修正や咬み合わせの微調整を行う可能性があります。
  • ⑫矯正歯科装置を誤飲する可能性があります。
  • ⑬矯正歯科装置を外す際にエナメル質に微小な亀裂が入る可能性や、かぶせ物(補綴物)の一部が破損する可能性があります。
  • ⑭動的治療が終了し装置が外れた後に現在の咬み合わせに合った状態のかぶせ物(補綴物)やむし歯の治療(修復物)などをやりなおす必要性が生じる可能性があります。
  • ⑮動的治療が終了し装置が外れた後に保定装置を指示通り使用しないと、歯並びや、咬み合せの「後戻り」が生じる可能性があります。
  • ⑯あごの成長発育により咬み合せや歯並びが変化する可能性があります。
  • ⑰治療後に親知らずの影響で歯並びや咬み合せに変化が生じる可能性があります。また、加齢や歯周病などにより歯並びや咬み合せが変化することがあります。
  • ⑱矯正歯科治療は一度始めると元の状態に戻すことは難しくなります。

すべて開く +

初診時年齢 12歳1ヶ月
主訴 口元が気になる
診断名 上下顎前突
治療に用いた主な装置 マルチブラケット装置
抜歯部位 抜歯(上下顎左右側4番抜歯)
治療期間/回数 2年5ヶ月/26回
費用の総額 1,078,000円(税込)
費用内訳
  • 相談 無料
  • 検査・診断料 55,000円(税込)
  • マルチブラケット矯正装置 880,000円(税込)
  • 調整料 5,500円(税込)✕26回
リスク・副作用
  • ・装置が付くと装置に擦れて口内炎が出来やすくなる
  • ・歯が動くときに痛みがでることがある
  • ・装置が付くと歯みがきが難しくなるため虫歯や歯肉炎につながりやすい
  • ・患者様に協力していただけないことがあると治療が進まない事がある
  • ・治療後、保定装置(リテーナー)を指示通り入れないことや、その他の指導内容が守れない場合、後戻りする可能性があること
  • ※上記の内容は個人差があり、全ての方に当てはまるものではございませんので参考としてご覧ください。

【矯正治療に伴う一般的なリスク・副作用について】

  • ①矯正歯科装置を付けた後しばらくは違和感、不快感、痛みなどが生じることがありますが、一般的には数日間~1、2週間で慣れてきます。
  • ②歯の動き方には個人差があり、予想された治療期間が延長する可能性があります。
  • ③矯正歯科装置の使用状況、顎間ゴムの使用状況、定期的な通院など、矯正歯科治療には患者さんの協力が必要であり、それらが治療結果や治療期間に影響します。
  • ④治療中は矯正歯科装置が歯の表面に付いているため食物が溜りやすく、また歯が磨きにくくなるため、むし歯や歯周病が生じるリスクが高まります。したがってハミガキを適切に行い、お口の中を常に清潔に保ち、さらに、かかりつけ歯科医に定期的に受診することが大切です。また、歯が動くと隠れていたむし歯があることが判明することもあります。
  • ⑤歯を動かすことにより歯根が吸収して短くなることや歯肉がやせて下がることがあります。
  • ⑥ごくまれに歯が骨と癒着していて歯が動かないことがあります。
  • ⑦ごくまれに歯を動かすことで神経が障害を受けて壊死することがあります。
  • ⑧矯正歯科装置などにより金属等のアレルギー症状が出ることがあります。
  • ⑨治療中に顎関節の痛み、音が鳴る、口が開けにくいなどの症状が生じることがあります。
  • ⑩治療の経過によっては当初予定していた治療計画を変更する可能性があります。
  • ⑪歯の形の修正や咬み合わせの微調整を行う可能性があります。
  • ⑫矯正歯科装置を誤飲する可能性があります。
  • ⑬矯正歯科装置を外す際にエナメル質に微小な亀裂が入る可能性や、かぶせ物(補綴物)の一部が破損する可能性があります。
  • ⑭動的治療が終了し装置が外れた後に現在の咬み合わせに合った状態のかぶせ物(補綴物)やむし歯の治療(修復物)などをやりなおす必要性が生じる可能性があります。
  • ⑮動的治療が終了し装置が外れた後に保定装置を指示通り使用しないと、歯並びや、咬み合せの「後戻り」が生じる可能性があります。
  • ⑯あごの成長発育により咬み合せや歯並びが変化する可能性があります。
  • ⑰治療後に親知らずの影響で歯並びや咬み合せに変化が生じる可能性があります。また、加齢や歯周病などにより歯並びや咬み合せが変化することがあります。
  • ⑱矯正歯科治療は一度始めると元の状態に戻すことは難しくなります。

すべて開く +

出っ歯(上顎前突)治療 6

初診時年齢 21歳5か月 主訴 口元の出っ張りが気になる
診断名 叢生を伴う上下顎前突 治療に用いた主な装置 マルチブラケット装置
抜歯部位 抜歯(上下顎左右側4番抜歯) 治療期間/回数 2年4ヶ月/25回
費用の総額 1,072,500円(税込) 費用内訳
  • 相談 無料
  • 検査・診断料 55,000円(税込)
  • マルチブラケット矯正装置 880,000円(税込)
  • 調整料 5,500円(税込)✕25回
リスク
  • ・装置が付くと装置に擦れて口内炎が出来やすくなる
  • ・歯が動くときに痛みがでることがある
  • ・装置が付くと歯みがきが難しくなるため虫歯や歯肉炎につながりやすい
  • ・患者様に協力していただけないことがあると治療が進まない事がある
  • ・治療後、保定装置(リテーナー)を指示通り入れないことや、その他の指導内容が守れない場合、後戻りする可能性があること
  • ※上記の内容は個人差があり、全ての方に当てはまるものではございませんので参考としてご覧ください。

【矯正治療に伴う一般的なリスク・副作用について】

  • ①矯正歯科装置を付けた後しばらくは違和感、不快感、痛みなどが生じることがありますが、一般的には数日間~1、2週間で慣れてきます。
  • ②歯の動き方には個人差があり、予想された治療期間が延長する可能性があります。
  • ③矯正歯科装置の使用状況、顎間ゴムの使用状況、定期的な通院など、矯正歯科治療には患者さんの協力が必要であり、それらが治療結果や治療期間に影響します。
  • ④治療中は矯正歯科装置が歯の表面に付いているため食物が溜りやすく、また歯が磨きにくくなるため、むし歯や歯周病が生じるリスクが高まります。したがってハミガキを適切に行い、お口の中を常に清潔に保ち、さらに、かかりつけ歯科医に定期的に受診することが大切です。また、歯が動くと隠れていたむし歯があることが判明することもあります。
  • ⑤歯を動かすことにより歯根が吸収して短くなることや歯肉がやせて下がることがあります。
  • ⑥ごくまれに歯が骨と癒着していて歯が動かないことがあります。
  • ⑦ごくまれに歯を動かすことで神経が障害を受けて壊死することがあります。
  • ⑧矯正歯科装置などにより金属等のアレルギー症状が出ることがあります。
  • ⑨治療中に顎関節の痛み、音が鳴る、口が開けにくいなどの症状が生じることがあります。
  • ⑩治療の経過によっては当初予定していた治療計画を変更する可能性があります。
  • ⑪歯の形の修正や咬み合わせの微調整を行う可能性があります。
  • ⑫矯正歯科装置を誤飲する可能性があります。
  • ⑬矯正歯科装置を外す際にエナメル質に微小な亀裂が入る可能性や、かぶせ物(補綴物)の一部が破損する可能性があります。
  • ⑭動的治療が終了し装置が外れた後に現在の咬み合わせに合った状態のかぶせ物(補綴物)やむし歯の治療(修復物)などをやりなおす必要性が生じる可能性があります。
  • ⑮動的治療が終了し装置が外れた後に保定装置を指示通り使用しないと、歯並びや、咬み合せの「後戻り」が生じる可能性があります。
  • ⑯あごの成長発育により咬み合せや歯並びが変化する可能性があります。
  • ⑰治療後に親知らずの影響で歯並びや咬み合せに変化が生じる可能性があります。また、加齢や歯周病などにより歯並びや咬み合せが変化することがあります。
  • ⑱矯正歯科治療は一度始めると元の状態に戻すことは難しくなります。

すべて開く +

初診時年齢 21歳5ヶ月
主訴 口元の出っ張りが気になる
診断名 叢生を伴う上下顎前突
費用に用いた主な装置 マルチブラケット装置
抜歯部位 抜歯(上下顎左右側4番抜歯)
治療期間/回数 2年4ヶ月/25回
費用の総額 1,072,500円(税込)
費用内訳
  • 相談 無料
  • 検査・診断料 55,000円(税込)
  • マルチブラケット矯正装置 880,000円(税込)
  • 調整料 5,500円(税込)✕25回
リスク・副作用
  • ・装置が付くと装置に擦れて口内炎が出来やすくなる
  • ・歯が動くときに痛みがでることがある
  • ・装置が付くと歯みがきが難しくなるため虫歯や歯肉炎につながりやすい
  • ・患者様に協力していただけないことがあると治療が進まない事がある
  • ・治療後、保定装置(リテーナー)を指示通り入れないことや、その他の指導内容が守れない場合、後戻りする可能性があること
  • ※上記の内容は個人差があり、全ての方に当てはまるものではございませんので参考としてご覧ください。

【矯正治療に伴う一般的なリスク・副作用について】

  • ①矯正歯科装置を付けた後しばらくは違和感、不快感、痛みなどが生じることがありますが、一般的には数日間~1、2週間で慣れてきます。
  • ②歯の動き方には個人差があり、予想された治療期間が延長する可能性があります。
  • ③矯正歯科装置の使用状況、顎間ゴムの使用状況、定期的な通院など、矯正歯科治療には患者さんの協力が必要であり、それらが治療結果や治療期間に影響します。
  • ④治療中は矯正歯科装置が歯の表面に付いているため食物が溜りやすく、また歯が磨きにくくなるため、むし歯や歯周病が生じるリスクが高まります。したがってハミガキを適切に行い、お口の中を常に清潔に保ち、さらに、かかりつけ歯科医に定期的に受診することが大切です。また、歯が動くと隠れていたむし歯があることが判明することもあります。
  • ⑤歯を動かすことにより歯根が吸収して短くなることや歯肉がやせて下がることがあります。
  • ⑥ごくまれに歯が骨と癒着していて歯が動かないことがあります。
  • ⑦ごくまれに歯を動かすことで神経が障害を受けて壊死することがあります。
  • ⑧矯正歯科装置などにより金属等のアレルギー症状が出ることがあります。
  • ⑨治療中に顎関節の痛み、音が鳴る、口が開けにくいなどの症状が生じることがあります。
  • ⑩治療の経過によっては当初予定していた治療計画を変更する可能性があります。
  • ⑪歯の形の修正や咬み合わせの微調整を行う可能性があります。
  • ⑫矯正歯科装置を誤飲する可能性があります。
  • ⑬矯正歯科装置を外す際にエナメル質に微小な亀裂が入る可能性や、かぶせ物(補綴物)の一部が破損する可能性があります。
  • ⑭動的治療が終了し装置が外れた後に現在の咬み合わせに合った状態のかぶせ物(補綴物)やむし歯の治療(修復物)などをやりなおす必要性が生じる可能性があります。
  • ⑮動的治療が終了し装置が外れた後に保定装置を指示通り使用しないと、歯並びや、咬み合せの「後戻り」が生じる可能性があります。
  • ⑯あごの成長発育により咬み合せや歯並びが変化する可能性があります。
  • ⑰治療後に親知らずの影響で歯並びや咬み合せに変化が生じる可能性があります。また、加齢や歯周病などにより歯並びや咬み合せが変化することがあります。
  • ⑱矯正歯科治療は一度始めると元の状態に戻すことは難しくなります。

すべて開く +

出っ歯(上顎前突)治療 7

初診時年齢 28歳1ヶ月 主訴 出っ歯が気になる
診断名 上下顎前突 治療に用いた主な装置 マルチブラケット矯正装置
抜歯部位 抜歯(上下顎左右側4番抜歯) 治療期間/回数 2年8ヶ月/28回
費用の総額 1,199,000円(税込) 費用内訳
  • 相談 無料
  • 検査・診断料 55,000円(税込)
  • マルチブラケット矯正装置 990,000円(税込)
  • 調整料 5,500円(税込)×28回
リスク
  • ・装置が付くと装置に擦れて口内炎が出来やすくなる
  • ・歯が動くときに痛みがでることがある
  • ・装置が付くと歯みがきが難しくなるため虫歯や歯肉炎につながりやすい
  • ・患者様に協力していただけないことがあると治療が進まない事がある
  • ・治療後、保定装置(リテーナー)を指示通り入れないことや、その他の指導内容が守れない場合、後戻りする可能性があること
  • ※上記の内容は個人差があり、全ての方に当てはまるものではございませんので参考としてご覧ください。

【矯正治療に伴う一般的なリスク・副作用について】

  • ①矯正歯科装置を付けた後しばらくは違和感、不快感、痛みなどが生じることがありますが、一般的には数日間~1、2週間で慣れてきます。
  • ②歯の動き方には個人差があり、予想された治療期間が延長する可能性があります。
  • ③矯正歯科装置の使用状況、顎間ゴムの使用状況、定期的な通院など、矯正歯科治療には患者さんの協力が必要であり、それらが治療結果や治療期間に影響します。
  • ④治療中は矯正歯科装置が歯の表面に付いているため食物が溜りやすく、また歯が磨きにくくなるため、むし歯や歯周病が生じるリスクが高まります。したがってハミガキを適切に行い、お口の中を常に清潔に保ち、さらに、かかりつけ歯科医に定期的に受診することが大切です。また、歯が動くと隠れていたむし歯があることが判明することもあります。
  • ⑤歯を動かすことにより歯根が吸収して短くなることや歯肉がやせて下がることがあります。
  • ⑥ごくまれに歯が骨と癒着していて歯が動かないことがあります。
  • ⑦ごくまれに歯を動かすことで神経が障害を受けて壊死することがあります。
  • ⑧矯正歯科装置などにより金属等のアレルギー症状が出ることがあります。
  • ⑨治療中に顎関節の痛み、音が鳴る、口が開けにくいなどの症状が生じることがあります。
  • ⑩治療の経過によっては当初予定していた治療計画を変更する可能性があります。
  • ⑪歯の形の修正や咬み合わせの微調整を行う可能性があります。
  • ⑫矯正歯科装置を誤飲する可能性があります。
  • ⑬矯正歯科装置を外す際にエナメル質に微小な亀裂が入る可能性や、かぶせ物(補綴物)の一部が破損する可能性があります。
  • ⑭動的治療が終了し装置が外れた後に現在の咬み合わせに合った状態のかぶせ物(補綴物)やむし歯の治療(修復物)などをやりなおす必要性が生じる可能性があります。
  • ⑮動的治療が終了し装置が外れた後に保定装置を指示通り使用しないと、歯並びや、咬み合せの「後戻り」が生じる可能性があります。
  • ⑯あごの成長発育により咬み合せや歯並びが変化する可能性があります。
  • ⑰治療後に親知らずの影響で歯並びや咬み合せに変化が生じる可能性があります。また、加齢や歯周病などにより歯並びや咬み合せが変化することがあります。
  • ⑱矯正歯科治療は一度始めると元の状態に戻すことは難しくなります。

すべて開く +

初診時年齢 28歳1ヶ月
主訴 出っ歯が気になる
診断名 上下顎前突
費用に用いた主な装置 マルチブラケット矯正装置
抜歯部位 抜歯(上下顎左右側4番抜歯)
治療期間/回数 2年8ヶ月/28回
費用の総額 1,199,000円(税込)
費用内訳
  • 相談 無料
  • 検査・診断料 55,000円(税込)
  • マルチブラケット矯正装置 990,000円(税込)
  • 調整料 5,500円(税込)×28回
リスク・副作用
  • ・装置が付くと装置に擦れて口内炎が出来やすくなる
  • ・歯が動くときに痛みがでることがある
  • ・装置が付くと歯みがきが難しくなるため虫歯や歯肉炎につながりやすい
  • ・患者様に協力していただけないことがあると治療が進まない事がある
  • ・治療後、保定装置(リテーナー)を指示通り入れないことや、その他の指導内容が守れない場合、後戻りする可能性があること
  • ※上記の内容は個人差があり、全ての方に当てはまるものではございませんので参考としてご覧ください。

【矯正治療に伴う一般的なリスク・副作用について】

  • ①矯正歯科装置を付けた後しばらくは違和感、不快感、痛みなどが生じることがありますが、一般的には数日間~1、2週間で慣れてきます。
  • ②歯の動き方には個人差があり、予想された治療期間が延長する可能性があります。
  • ③矯正歯科装置の使用状況、顎間ゴムの使用状況、定期的な通院など、矯正歯科治療には患者さんの協力が必要であり、それらが治療結果や治療期間に影響します。
  • ④治療中は矯正歯科装置が歯の表面に付いているため食物が溜りやすく、また歯が磨きにくくなるため、むし歯や歯周病が生じるリスクが高まります。したがってハミガキを適切に行い、お口の中を常に清潔に保ち、さらに、かかりつけ歯科医に定期的に受診することが大切です。また、歯が動くと隠れていたむし歯があることが判明することもあります。
  • ⑤歯を動かすことにより歯根が吸収して短くなることや歯肉がやせて下がることがあります。
  • ⑥ごくまれに歯が骨と癒着していて歯が動かないことがあります。
  • ⑦ごくまれに歯を動かすことで神経が障害を受けて壊死することがあります。
  • ⑧矯正歯科装置などにより金属等のアレルギー症状が出ることがあります。
  • ⑨治療中に顎関節の痛み、音が鳴る、口が開けにくいなどの症状が生じることがあります。
  • ⑩治療の経過によっては当初予定していた治療計画を変更する可能性があります。
  • ⑪歯の形の修正や咬み合わせの微調整を行う可能性があります。
  • ⑫矯正歯科装置を誤飲する可能性があります。
  • ⑬矯正歯科装置を外す際にエナメル質に微小な亀裂が入る可能性や、かぶせ物(補綴物)の一部が破損する可能性があります。
  • ⑭動的治療が終了し装置が外れた後に現在の咬み合わせに合った状態のかぶせ物(補綴物)やむし歯の治療(修復物)などをやりなおす必要性が生じる可能性があります。
  • ⑮動的治療が終了し装置が外れた後に保定装置を指示通り使用しないと、歯並びや、咬み合せの「後戻り」が生じる可能性があります。
  • ⑯あごの成長発育により咬み合せや歯並びが変化する可能性があります。
  • ⑰治療後に親知らずの影響で歯並びや咬み合せに変化が生じる可能性があります。また、加齢や歯周病などにより歯並びや咬み合せが変化することがあります。
  • ⑱矯正歯科治療は一度始めると元の状態に戻すことは難しくなります。

すべて開く +

出っ歯(上顎前突)治療 8

初診時年齢 27歳1ヶ月 主訴 口元の出っ張りが気になる
診断名 上下顎前突 治療に用いた主な装置 マルチブラケット装置
抜歯部位 抜歯(上下顎左右側4番抜歯) 治療期間/回数 2年3カ月/24回
費用の総額 1,177,000円(税込) 費用内訳
  • 相談 無料
  • 検査・診断料 55,000円(税込)
  • マルチブラケット矯正装置 990,000円(税込)
  • 調整料 5,500円(税込)×24回
  • ※補足
    上顎左右側2番は矮小歯のため、補綴予定。そのため、補綴用スペースを開けている。
リスク
  • ・歯が動くときに痛みがでることがある
  • ・患者様に協力していただけないことがあると治療が進まない事がある
  • ・治療後、保定装置(リテーナー)を指示通り入れないことや、その他の指導内容が守れない場合、後戻りする可能性があること
  • ※上記の内容は個人差があり、全ての方に当てはまるものではございませんので参考としてご覧ください。

【矯正治療に伴う一般的なリスク・副作用について】

  • ①矯正歯科装置を付けた後しばらくは違和感、不快感、痛みなどが生じることがありますが、一般的には数日間~1、2週間で慣れてきます。
  • ②歯の動き方には個人差があり、予想された治療期間が延長する可能性があります。
  • ③矯正歯科装置の使用状況、顎間ゴムの使用状況、定期的な通院など、矯正歯科治療には患者さんの協力が必要であり、それらが治療結果や治療期間に影響します。
  • ④治療中は矯正歯科装置が歯の表面に付いているため食物が溜りやすく、また歯が磨きにくくなるため、むし歯や歯周病が生じるリスクが高まります。したがってハミガキを適切に行い、お口の中を常に清潔に保ち、さらに、かかりつけ歯科医に定期的に受診することが大切です。また、歯が動くと隠れていたむし歯があることが判明することもあります。
  • ⑤歯を動かすことにより歯根が吸収して短くなることや歯肉がやせて下がることがあります。
  • ⑥ごくまれに歯が骨と癒着していて歯が動かないことがあります。
  • ⑦ごくまれに歯を動かすことで神経が障害を受けて壊死することがあります。
  • ⑧矯正歯科装置などにより金属等のアレルギー症状が出ることがあります。
  • ⑨治療中に顎関節の痛み、音が鳴る、口が開けにくいなどの症状が生じることがあります。
  • ⑩治療の経過によっては当初予定していた治療計画を変更する可能性があります。
  • ⑪歯の形の修正や咬み合わせの微調整を行う可能性があります。
  • ⑫矯正歯科装置を誤飲する可能性があります。
  • ⑬矯正歯科装置を外す際にエナメル質に微小な亀裂が入る可能性や、かぶせ物(補綴物)の一部が破損する可能性があります。
  • ⑭動的治療が終了し装置が外れた後に現在の咬み合わせに合った状態のかぶせ物(補綴物)やむし歯の治療(修復物)などをやりなおす必要性が生じる可能性があります。
  • ⑮動的治療が終了し装置が外れた後に保定装置を指示通り使用しないと、歯並びや、咬み合せの「後戻り」が生じる可能性があります。
  • ⑯あごの成長発育により咬み合せや歯並びが変化する可能性があります。
  • ⑰治療後に親知らずの影響で歯並びや咬み合せに変化が生じる可能性があります。また、加齢や歯周病などにより歯並びや咬み合せが変化することがあります。
  • ⑱矯正歯科治療は一度始めると元の状態に戻すことは難しくなります。

すべて開く +

初診時年齢 27歳1ヶ月
主訴 口元の出っ張りが気になる
診断名 上下顎前突
費用に用いた主な装置 マルチブラケット装置
抜歯部位 抜歯(上下顎左右側4番抜歯)
治療期間/回数 2年3カ月/24回
費用の総額 1,177,000円(税込)
費用内訳
  • 相談 無料
  • 検査・診断料 55,000円(税込)
  • マルチブラケット矯正装置 990,000円(税込)
  • 調整料 5,500円(税込)×24回
リスク・副作用
  • 相談 無料
  • 検査・診断料 55,000円(税込)
  • マルチブラケット矯正装置 990,000円(税込)
  • 調整料 5,500円(税込)×24回
  • ※補足
    上顎左右側2番は矮小歯のため、補綴予定。そのため、補綴用スペースを開けている。

【矯正治療に伴う一般的なリスク・副作用について】

  • ①矯正歯科装置を付けた後しばらくは違和感、不快感、痛みなどが生じることがありますが、一般的には数日間~1、2週間で慣れてきます。
  • ②歯の動き方には個人差があり、予想された治療期間が延長する可能性があります。
  • ③矯正歯科装置の使用状況、顎間ゴムの使用状況、定期的な通院など、矯正歯科治療には患者さんの協力が必要であり、それらが治療結果や治療期間に影響します。
  • ④治療中は矯正歯科装置が歯の表面に付いているため食物が溜りやすく、また歯が磨きにくくなるため、むし歯や歯周病が生じるリスクが高まります。したがってハミガキを適切に行い、お口の中を常に清潔に保ち、さらに、かかりつけ歯科医に定期的に受診することが大切です。また、歯が動くと隠れていたむし歯があることが判明することもあります。
  • ⑤歯を動かすことにより歯根が吸収して短くなることや歯肉がやせて下がることがあります。
  • ⑥ごくまれに歯が骨と癒着していて歯が動かないことがあります。
  • ⑦ごくまれに歯を動かすことで神経が障害を受けて壊死することがあります。
  • ⑧矯正歯科装置などにより金属等のアレルギー症状が出ることがあります。
  • ⑨治療中に顎関節の痛み、音が鳴る、口が開けにくいなどの症状が生じることがあります。
  • ⑩治療の経過によっては当初予定していた治療計画を変更する可能性があります。
  • ⑪歯の形の修正や咬み合わせの微調整を行う可能性があります。
  • ⑫矯正歯科装置を誤飲する可能性があります。
  • ⑬矯正歯科装置を外す際にエナメル質に微小な亀裂が入る可能性や、かぶせ物(補綴物)の一部が破損する可能性があります。
  • ⑭動的治療が終了し装置が外れた後に現在の咬み合わせに合った状態のかぶせ物(補綴物)やむし歯の治療(修復物)などをやりなおす必要性が生じる可能性があります。
  • ⑮動的治療が終了し装置が外れた後に保定装置を指示通り使用しないと、歯並びや、咬み合せの「後戻り」が生じる可能性があります。
  • ⑯あごの成長発育により咬み合せや歯並びが変化する可能性があります。
  • ⑰治療後に親知らずの影響で歯並びや咬み合せに変化が生じる可能性があります。また、加齢や歯周病などにより歯並びや咬み合せが変化することがあります。
  • ⑱矯正歯科治療は一度始めると元の状態に戻すことは難しくなります。

すべて開く +

矯正治療におけるリスク

矯正治療におけるリスク 矯正治療におけるリスク