ガタガタ・凸凹(叢生)の矯正例
- トップ >
- ガタガタ・凸凹(叢生)
ガタガタ・凸凹(叢生)
歯が生えてくるときに十分なスペースがなかったため歯並びがデコボコになったり、重なり合って歯が生えている状態です。 歯並びが悪いことで虫歯や歯肉炎・歯周病などに派生することも考えられるため、ワイヤー(針金)で歯列(歯並びのアーチ)を広げたり、抜歯をすることで治療し改善することで予防していきます。
ガタガタ・凸凹(叢生)の原因
- アゴと歯の大きさの不調和
- 歯が生えるときのスペース不足
- もともとの歯が標準より大きい
- 歯列(歯並びのアーチ)が狭い
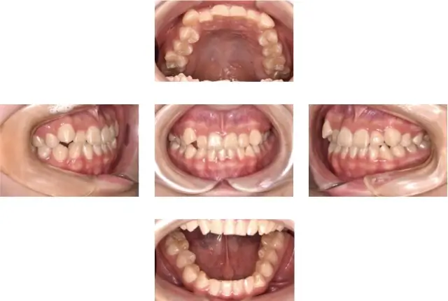
ガタガタ(叢生)治療例 1
| 初診時年齢 | 11歳4ヶ月 | 主訴 | でこぼこが気になる |
|---|---|---|---|
| 診断名 | 叢生を伴う上顎前突 | 治療に用いいた主な装置 | マルチブラケット装置 |
| 抜歯の有無 | 抜歯(上下顎左右側4番抜歯) | 治療期間/回数 | 2年3ヶ月/27回 |
| 費用の総額 | 1,083,500円(税込) | 費用内訳 |
|
| リスク・副作用 |
【矯正治療に伴う一般的なリスク・副作用について】 すべて開く + |
||
| 初診時年齢 | 11歳4ヶ月 |
|---|---|
| 主訴 | でこぼこが気になる |
| 診断名 | 叢生を伴う 上顎前突 |
| 治療に用いいた主な装置 | マルチブラケット装置 |
| 抜歯の有無 | 抜歯(上下顎左右側4番抜歯) |
| 治療期間/回数 | 2年3ヶ月/27回 |
| 費用の総額 | 1,083,500円(税込) |
| 費用内訳 |
|
| リスク・副作用 | |
【矯正治療に伴う一般的なリスク・副作用について】 すべて開く + |
|
ガタガタ(叢生)治療例 2
| 初診時年齢 | 16歳1ヶ月 | 主訴 | でこぼこが気になる |
|---|---|---|---|
| 診断名 | 叢生 | 治療に用いいた主な装置 | マルチブラケット装置 |
| 抜歯の有無 | 非抜歯 | 治療期間/回数 | 1年10ヶ月/22回 |
| 費用の総額 | 1,056,000円(税込) | 費用内訳 |
|
| リスク・副作用 |
【矯正治療に伴う一般的なリスク・副作用について】 すべて開く + |
||
| 初診時年齢 | 16歳1ヶ月 |
|---|---|
| 主訴 | でこぼこが気になる |
| 診断名 | 叢生 |
| 治療に用いいた主な装置 | マルチブラケット装置 |
| 抜歯の有無 | 非抜歯 |
| 治療期間/回数 | 1年10ヶ月/22回 |
| 費用の総額 | 1,056,000円(税込) |
| 費用内訳 |
|
| リスク・副作用 | |
【矯正治療に伴う一般的なリスク・副作用について】 すべて開く + |
|
ガタガタ(叢生)治療例 3
| 初診時年齢 | 16歳5ヶ月 | 主訴 | 下の歯のでこぼこが気になる |
|---|---|---|---|
| 診断名 | 叢生を伴う上下顎前突 | 治療に用いいた主な装置 | マルチブラケット装置 |
| 抜歯の有無 | 抜歯(上下顎左右側4番抜歯) | 治療期間/回数 | 2年2ヶ月/26回 |
| 費用の総額 | 1,078,000円(税込) | 費用内訳 |
|
| リスク・副作用 |
【矯正治療に伴う一般的なリスク・副作用について】 すべて開く + |
||
| 初診時年齢 | 16歳5ヶ月 |
|---|---|
| 主訴 | 下の歯のでこぼこが気になる |
| 診断名 | 叢生を伴う上下顎前突 |
| 治療に用いいた主な装置 | マルチブラケット装置 |
| 抜歯の有無 | 抜歯(上下顎左右側4番抜歯) |
| 治療期間/回数 | 2年2ヶ月/26回 |
| 費用の総額 | 1,078,000円(税込) |
| 費用内訳 |
|
| リスク・副作用 | |
【矯正治療に伴う一般的なリスク・副作用について】 すべて開く + |
|
ガタガタ(叢生)治療例 4
| 初診時年齢 | 26歳3か月 | 主訴 | 前歯のでこぼこが気になる |
|---|---|---|---|
| 診断名 | 叢生 | 治療に用いいた主な装置 | マルチブラケット装置 |
| 抜歯の有無 | 非抜歯 | 治療期間/回数 | 2年1ヶ月/23回 |
| 費用の総額 | 1,061,500円(税込) | 費用内訳 |
|
| リスク・副作用 |
【矯正治療に伴う一般的なリスク・副作用について】 すべて開く + |
||
| 初診時年齢 | 26歳3か月 |
|---|---|
| 主訴 | 前歯のでこぼこが気になる |
| 診断名 | 叢生 |
| 治療に用いいた主な装置 | マルチブラケット装置 |
| 抜歯の有無 | 非抜歯 |
| 治療期間/回数 | 2年1ヶ月/23回 |
| 費用の総額 | 1,061,500円(税込) |
| 費用内訳 |
|
| リスク・副作用 | |
【矯正治療に伴う一般的なリスク・副作用について】 すべて開く + |
|
ガタガタ(叢生)治療例 5
| 初診時年齢 | 25歳9ヶ月 | 主訴 | 前歯のでこぼこが気になる |
|---|---|---|---|
| 診断名 | 叢生 | 治療に用いいた主な装置 | マウスピース型矯正装置(インビザライン) |
| 抜歯の有無 | 非抜歯 | 治療期間/回数 | 1年7ヶ月/10回 |
| 費用の総額 | 1,045,000円(税込) | 費用内訳 |
|
| リスク・副作用 |
※マウスピース型矯正装置(インビザライン)は、完成物薬機法対象外の装置であり、医薬品副作用被害救済制度の対象外となる場合があります。 未承認医薬品を用いた治療について 【矯正治療に伴う一般的なリスク・副作用について】 すべて開く + |
||
| 初診時年齢 | 25歳9ヶ月 |
|---|---|
| 主訴 | 前歯のでこぼこが気になる |
| 診断名 | 叢生 |
| 治療に用いいた主な装置 | マウスピース型矯正装置(インビザライン) |
| 抜歯の有無 | 非抜歯 |
| 治療期間/回数 | 1年7ヶ月/10回 |
| 費用の総額 | 1,045,000円(税込) |
| 費用内訳 |
|
| リスク・副作用 | |
※マウスピース型矯正装置(インビザライン)は、完成物薬機法対象外の装置であり、医薬品副作用被害救済制度の対象外となる場合があります。 未承認医薬品を用いた治療について 【矯正治療に伴う一般的なリスク・副作用について】 すべて開く + |
|
ガタガタ(叢生)治療例 6
| 初診時年齢 | 24歳8ヶ月 | 主訴 | 歯が後ろにあるのが気になる |
|---|---|---|---|
| 診断名 | 叢生 | 治療に用いいた主な装置 | マルチブラケット装置 |
| 抜歯の有無 | 非抜歯 | 治療期間/回数 | 2年2ヶ月/20回 |
| 費用の総額 | 1,045,000円(税込) | 費用内訳 |
|
| リスク・副作用 |
【矯正治療に伴う一般的なリスク・副作用について】 すべて開く + |
||
| 初診時年齢 | 24歳8ヶ月 |
|---|---|
| 主訴 | 歯が後ろにあるのが気になる |
| 診断名 | 叢生 |
| 治療に用いいた主な装置 | マルチブラケット装置 |
| 抜歯の有無 | 非抜歯 |
| 治療期間/回数 | 2年2ヶ月/20回 |
| 費用の総額 | 1,045,000円(税込) |
| 費用内訳 |
|
| リスク・副作用 | |
【矯正治療に伴う一般的なリスク・副作用について】 すべて開く + |
|
ガタガタ(叢生)治療例 7
| 初診時年齢 | 27歳5ヶ月 | 主訴 | でこぼこが気になる |
|---|---|---|---|
| 診断名 | 叢生 | 治療に用いいた主な装置 | マウスピース型矯正装置(インビザライン) |
| 抜歯の有無 | 非抜歯 | 治療期間/回数 | 10ヶ月/3回 |
| 費用の総額 | 935,000円(税込) | 費用内訳 |
|
| リスク・副作用 |
※マウスピース型矯正装置(インビザライン)は、完成物薬機法対象外の装置であり、医薬品副作用被害救済制度の対象外となる場合があります。 未承認医薬品を用いた治療について 【矯正治療に伴う一般的なリスク・副作用について】 すべて開く + |
||
| 初診時年齢 | 27歳5ヶ月 |
|---|---|
| 主訴 | でこぼこが気になる |
| 診断名 | 叢生 |
| 治療に用いいた主な装置 | マウスピース型矯正装置(インビザライン) |
| 抜歯の有無 | 非抜歯 |
| 治療期間/回数 | 10ヶ月/3回 |
| 費用の総額 | 935,000円(税込) |
| 費用内訳 |
|
| リスク・副作用 | |
※マウスピース型矯正装置(インビザライン)は、完成物薬機法対象外の装置であり、医薬品副作用被害救済制度の対象外となる場合があります。 未承認医薬品を用いた治療について 【矯正治療に伴う一般的なリスク・副作用について】 すべて開く + |
|
【子供の矯正】ガタガタ(叢生)治療例8
| 初診時年齢 | 8歳5ヶ月 | 主訴 | 上の前歯が裏から生えてきた |
|---|---|---|---|
| 診断名 | 叢生 | 治療に用いいた主な装置 | マルチブラケット装置 |
| 抜歯の有無 | 非抜歯 | 治療期間/回数 | 1年6ヶ月/15回 |
| 費用の総額 | 467,500円(税込) | 費用内訳 |
|
| リスク・副作用 |
【矯正治療に伴う一般的なリスク・副作用について】 すべて開く + |
||
| 初診時年齢 | 8歳5ヶ月 |
|---|---|
| 主訴 | 上の前歯が裏から生えてきた |
| 診断名 | 叢生 |
| 治療に用いいた主な装置 | マルチブラケット装置 |
| 抜歯の有無 | 非抜歯 |
| 治療期間/回数 | 1年6ヶ月/15回 |
| 費用の総額 | 467,500円(税込) |
| 費用内訳 |
|
| リスク・副作用 | |
【矯正治療に伴う一般的なリスク・副作用について】 すべて開く + |
|
【子供の矯正】ガタガタ(叢生)治療例9
| 初診時年齢 | 9歳3ヶ月 | 主訴 | 下の歯がでこぼこ |
|---|---|---|---|
| 診断名 | 叢生 | 治療に用いいた主な装置 | マルチブラケット装置 |
| 抜歯の有無 | 非抜歯 | 治療期間/回数 | 1年2ヶ月/10回 |
| 費用の総額 | 440,000円(税込) | 費用内訳 |
|
| リスク・副作用 |
【矯正治療に伴う一般的なリスク・副作用について】 すべて開く + |
||
| 初診時年齢 | 9歳3ヶ月 |
|---|---|
| 主訴 | 下の歯がでこぼこ |
| 診断名 | 叢生 |
| 治療に用いいた主な装置 | マルチブラケット装置 |
| 抜歯の有無 | 非抜歯 |
| 治療期間/回数 | 1年2ヶ月/10回 |
| 費用の総額 | 440,000円(税込) |
| 費用内訳 |
|
| リスク・副作用 | |
【矯正治療に伴う一般的なリスク・副作用について】 すべて開く + |
|
【子供の矯正】ガタガタ(叢生)治療例10
| 初診時年齢 | 8歳9ヶ月 | 主訴 | 上の歯がでこぼこ |
|---|---|---|---|
| 診断名 | 叢生 | 治療に用いいた主な装置 | マルチブラケット装置 |
| 抜歯の有無 | 非抜歯 | 治療期間/回数 | 1年5ヶ月/13回 |
| 費用の総額 | 456,500円(税込) | 費用内訳 |
|
| リスク・副作用 |
【矯正治療に伴う一般的なリスク・副作用について】 すべて開く + |
||
| 初診時年齢 | 8歳9ヶ月 |
|---|---|
| 主訴 | 上の歯がでこぼこ |
| 診断名 | 叢生 |
| 治療に用いいた主な装置 | マルチブラケット装置 |
| 抜歯の有無 | 非抜歯 |
| 治療期間/回数 | 1年5ヶ月/13回 |
| 費用の総額 | 456,500円(税込) |
| 費用内訳 |
|
| リスク・副作用 | |
【矯正治療に伴う一般的なリスク・副作用について】 すべて開く + |
|
ガタガタ(叢生)治療例11
| 初診時年齢 | 27歳11ヶ月 | 主訴 | 前歯の凸凹が気になる |
|---|---|---|---|
| 診断名 | 叢生 | 治療に用いいた主な装置 | マウスピース型矯正装置(インビザライン) |
| 抜歯の有無 | 非抜歯 | 治療期間/回数 | 1年6ヶ月/4回 |
| 費用の総額 | 1,045,000円(税込) | 費用内訳 |
|
| リスク・副作用 |
【矯正治療に伴う一般的なリスク・副作用について】 すべて開く + |
||
| 初診時年齢 | 27歳11ヶ月 |
|---|---|
| 主訴 | 前歯の凸凹が気になる |
| 診断名 | 叢生 |
| 治療に用いいた主な装置 | マウスピース型矯正装置(インビザライン) |
| 抜歯の有無 | 非抜歯 |
| 治療期間/回数 | 1年6ヶ月/4回 |
| 費用の総額 | 1,045,000円(税込) |
| 費用内訳 |
|
| リスク・副作用 | |
【矯正治療に伴う一般的なリスク・副作用について】 すべて開く + |
|
ガタガタ(叢生)治療例12
| 初診時年齢 | 27歳5ヶ月 | 主訴 | 凸凹が気になる |
|---|---|---|---|
| 診断名 | 叢生 | 治療に用いいた主な装置 | マウスピース型矯正装置(インビザライン) |
| 抜歯の有無 | 非抜歯 | 治療期間/回数 | 8ヶ月/3回 |
| 費用の総額 | 1,045,000円(税込) | 費用内訳 |
|
| リスク・副作用 |
【矯正治療に伴う一般的なリスク・副作用について】 すべて開く + |
||
| 初診時年齢 | 27歳5ヶ月 |
|---|---|
| 主訴 | 凸凹が気になる |
| 診断名 | 叢生 |
| 治療に用いいた主な装置 | マウスピース型矯正装置(インビザライン) |
| 抜歯の有無 | 非抜歯 |
| 治療期間/回数 | 8ヶ月/3回 |
| 費用の総額 | 1,045,000円(税込) |
| 費用内訳 |
|
| リスク・副作用 | |
【矯正治療に伴う一般的なリスク・副作用について】 すべて開く + |
|
ガタガタ(叢生)治療例13
| 初診時年齢 | 14歳2ヶ月 | 主訴 | 凸凹が気になる |
|---|---|---|---|
| 診断名 | 叢生 | 治療に用いいた主な装置 | マウスピース型矯正装置(インビザライン) |
| 抜歯の有無 | 非抜歯 | 治療期間/回数 | 1年7ヶ月/9回 |
| 費用の総額 | 935,000円(税込) | 費用内訳 |
|
| リスク・副作用 |
【矯正治療に伴う一般的なリスク・副作用について】 すべて開く + |
||
| 初診時年齢 | 14歳2ヶ月 |
|---|---|
| 主訴 | 凸凹が気になる |
| 診断名 | 叢生 |
| 治療に用いいた主な装置 | マウスピース型矯正装置(インビザライン) |
| 抜歯の有無 | 非抜歯 |
| 治療期間/回数 | 1年7ヶ月/9回 |
| 費用の総額 | 935,000円(税込) |
| 費用内訳 |
|
| リスク・副作用 | |
【矯正治療に伴う一般的なリスク・副作用について】 すべて開く + |
|
矯正治療におけるリスク

























